여시들 7월전까지 스케일링해야한다는 글 요새많이 올라오지?
2013년부터 만 20세이상 국민은
1년에 1번 보험적용을 받을 수있는데
원래 3~7만원사이인걸,
15,000원에
받을 수있어!
꼭받아야겠징 @_@?
근데 그글 댓글보니까
스케일링에 대해
공포감을 가지고있거나,
중요성을 모르는
여시들이 많아서
글을 찌게되었엉.
스케일링은 보통
치아에 붙은 석회화된 플라그를 제거하는
치과 의료야.
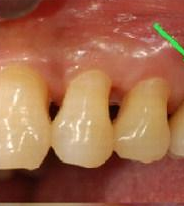
혐 주의
치아 사진 주의

왼쪽은 치석이 굉장히 많이 엄청 쌓인거야.
보통은 치아안쪽에 치아 틈이없이 무언가가 하얗게 채우고
있을거야. 오른쪽은 그걸 제거한 사진이고 .
보통 치석제거장비로 치석을 긁어내는데,
그과정에서 피가나는건
의술이 부족한게아니라
잇몸가까이 있는 치석을 제거하다
잇몸을 건드린거야.
그런건 2~3일이면
다 나아 ㅋ
아프다고 해도 따끔한 정도일거야
치석제거장비로는 치아 갉아낼수없어
이것도 걱정안해두됨요.
치석이 왜 문제일까?
치석을 제거하고 이가 시리다는
느끼는 사람이 있는데,
이경우는
치석이 잇몸을 대신하는 잇몸 침식이
진행되었기때문에
잇몸뿌리가 외부에 노출되서 그런거야.
여기서 중요한건
치석이 제거되고나면 잇몸은 다시올라오지만,
내려간만큼의 반정도 올라와..
이게 계속고착화되면 잇몸이 점점 내려가고
잇몸 뿌리가 노출됨 ㅠㅠ
그럼 결국 30~40대에 임플란트가 필요한 상황까지 오게됨 ㅠ

이사진은
이미 많이 진행된 상태야
우리아빠는 이거보다
더 심각해서
(잇몸이 상당히 많이 내려앉았고, 담배도 폈었어 )
결국 이가 전부 흔들흔들거렸어 ㅠ..
40대 후반에
윗니 전부를 임플란트로 교체하는
대공사를 했었어 ㅠㅠㅠㅠㅠㅠㅠ
기둥뿌리 뽑힘.......
하...........
예방법 .
1) 치실 사용
아는분이 치과의사인데,
양치 + 치실만 사용해도
대한민국의 충치환자 70%는
사라진다고하더라고.
입냄새도 없어짐
2) 불소 함유가 높은 치약
3) 주기적인 치과 검진
아무리 바빠도.
아프지않더라도
6개월에 한번쯤은
꼭 치과가서
스케일링도 받고 검진도 받고 체크해야함!
언니들 우리 명품사면 애지중지하잖아!
내 이도 평생쓸 명품 치아야!
의료치아로는 대신할 수 없는
겁나 좋은 치아임!!!!!
예쁘고 건강하게 관리해서
90세에도 틀니없이
건강하게 살자긔 @_@)/
+) 올바른 치실 사용법
빠잉.


인스티즈앱