호출 예약
호출 내역
추천 내역
신고
  1주일 보지 않기 
카카오톡 공유
https://instiz.net/name/33980318주소 복사
   
 
로고
인기글
공지가 닫혀있어요 l 열기
필터링
전체 게시물 알림
신설 요청 이성 사랑방 야구
혹시 미국에서 여행 중이신가요?
여행 l 외국어 l 해외거주 l 해외드라마
이 글은 6년 전 (2019/12/02) 게시물이에요

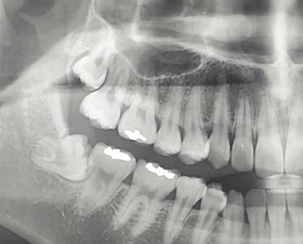
🦷사랑니 뽑아 본 익인이나 사랑니 박사 들어와줘🦷 | 인스티즈

 

나 사랑니가 이렇게 나고 있는데 저 사진 찍은 게 석달이 넘었거든?? 그래서 계속 자라고 있어서 그런지 옆에 어금니도 아파 ㅠㅠㅠ 원래 이런거야? 아니면 어금니도 썩은걸까?? 금으로 떼운지 얼마 안됐는데😭
대표 사진
삭제한 댓글
(본인이 직접 삭제한 댓글입니다)
6년 전
대표 사진
글쓴이
어금니 신경을?? 근데 신경은 잇몸 쪽에 있는 거 아니었어??!!!
6년 전
대표 사진
익인2
밑에꺼 빨리 뽑아야 돼ㅜㅜ 저거 자라면서 옆에 치아 건드리면서 그 사이로 음식물 들어가면 충치나고 엄청 크게 썩어
6년 전
대표 사진
글쓴이
나 예약을 2월달에 해놨어 ㅠㅠ 대학병원에서 뽑아야 한다는데 1월달에 중요한 시험이 있어가지구 ㅠㅜㅜ 그 전에 무조건 뽑아야하나 ㅠㅠㅠ
6년 전
대표 사진
익인9
나는 다른익인데 최대한 빨리 뽑는게 좋을걸..안그럼 어금니 계속 아플거야ㅠㅠ
6년 전
대표 사진
글쓴이
근데 그 전에는 예약이 다 차서 뽑을 수 없다길래 ㅠㅠㅠㅠ 후 어떡하지 ㅜㅜㅜㅜ 다른 병원 또 찾아가봐야겠다...
6년 전
대표 사진
익인11
꼭 대학병원 아니여도 돼!!!지역에 사랑니 잘뽑는 병원 분명 있을테니까 검색해서 가봥!
6년 전
대표 사진
글쓴이
11에게
헉 정말정말 고마워 익인아 ㅠㅠㅠ!!!!

6년 전
대표 사진
익인4
사랑니가 옆에 치아를 계속 밀어서그래
6년 전
대표 사진
익인5
당연하지 어금니를 밀어내니까 나도 오늘 찍고 왔는데 저랬거든 언능 뽑으라더라 ㅜㅜ
6년 전
대표 사진
익인6
저거 매복이라서 저 사랑니가 옆에 어금니 밀어서 아픈거야!나도 충치인줄 알고 갔는데 사랑니때문에 그건거래ㅠㅠ그리고 뽑고나서 지옥이니까 참고해,,
6년 전
대표 사진
익인7
저거 옆으로 누운거라 빨리뽑아야해
옆으로 자라면서 다른이를 미니까
나머지이빨에 안좋아

6년 전
대표 사진
익인8
아래꺼 얼른 뽑아야게따!!!!!
6년 전
대표 사진
익인10
키키 나랑 똑같군.. 다행히 신경은 아슬아슬하게 피했고 난 오른쪽 아래 사랑니가 저랬는데 뽑고나니까 앞에 있는 어금니 옆구리가 조금 썩었다고 그러셨어! 뽑고 나니까 아물면서 잇몸이 그 부분을 덮었는데 시간이 지나면서 이 어금니가 더 썩게되면 나중에 뽑고 임플란트하라고 그러시더라
6년 전
대표 사진
익인12
위 아래 둘다뽑아?
6년 전
대표 사진
글쓴이
위는 나중에 ㅠㅠ
6년 전
   
로그인 후 댓글을 달아보세요


이런 글은 어떠세요?

전체 HOT정보/소식팁/자료기타댓글없는글
자유 이력서 양식은 어디서 다운받아?
13:11 l 조회 1
직장익들 들와줘
13:11 l 조회 1
주술회전 결말까지 다 봤는데 유타 ㅅㅍㅈㅇ
13:11 l 조회 1
얘들아 내가 진짜 당부하는데 오늘 개봉한 톰과제리 절대 보지 마셈...
13:10 l 조회 3
아이폰 캘린더 일정 다 날라간 익 있어??
13:10 l 조회 2
아 미친 모기 물렸어
13:10 l 조회 2
새해기념 호르몬동 먹음
13:10 l 조회 2
친구 나랑 여행가고싶운거 맞을까....
13:10 l 조회 4
저녁 안 먹는걸로도 살 빠져?
13:10 l 조회 6
조카 있는 익들아1
13:10 l 조회 5
아바타 짱재밌다!!!!
13:10 l 조회 3
경량패딩 유행템일까
13:10 l 조회 4
돈많은 20대들 왤캐많아 1
13:09 l 조회 20
소모임 어플? 이거 어때??
13:09 l 조회 3
이제 스무살 돼서 담배 사고 싶은데 왜이렇게 눈치 보이지
13:09 l 조회 9
결혼하는 친구가 무리 다른 애한테 결혼식 올 수 있는지 물어봐줄 수 있냐고 부탁해서 내가 물어봐준 것 뿐인데
13:09 l 조회 5
이성 사랑방 어른들은 새해인사로 곧 좋은 소식 들려달라고 하시네
13:09 l 조회 3
너네 2026 다이어리 샀어..???
13:09 l 조회 5
치아 안 유지장치 한쪽 떨어졌는데 내일 치과 갈거거든?
13:09 l 조회 3
나도 00인데 98,99도 01,02도 차이 별로 못느껴 그냥 다 또래같음1
13:08 l 조회 11


12345678910다음
일상
이슈
연예
드영배
13:10