호출 예약
호출 내역
추천 내역
신고
1주일 보지 않기
카카오톡 공유
https://instiz.net/name/65307370
주소 복사
상세 검색
카테고리
기간
시간순
조회순
추천순
댓글순
스크랩순
~
기간 탐색
회원가입
이용 방법·규칙
ID 저장
자동 로그인
HOT
이슈
일상
연예
드영배
장터
픽션
공포
뷰티
스터디
iChart
출석체크
게임
변경
인기글
💌 2026년의 나에게 하고 싶은 말을 적어봐요! 💌
1년 후 나에게 다시 편지를 보내드릴게요
l
공지가 닫혀있어요
l
열기
필터링
전체 게시물 알림
일상
신설 요청
야구
혹시 미국에서 여행 중이신가요?
여행
l
외국어
l
해외거주
l
해외드라마
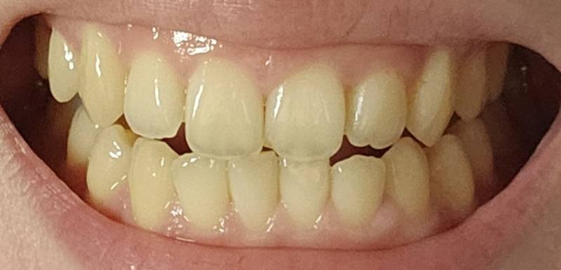
누렁니 익들아 나 이 많이누런편이지?ㅠㅠ혹시몰라 ㅎㅇㅈㅇ
22
5시간 전
l
조회
167
인스티즈앱
형광등 아래에서
형광등 없을 때
익인1
네
5시간 전
익인2
엥? 아니요
5시간 전
글쓴이
밑에 사진 추가했는데 봐줄 수 있어?
4시간 전
익인2
아니라구요 ㅠㅡㅠ
4시간 전
익인2
누렁니는 형광등 아래에서가 더 잘 보여.. 저건 그냥 어두워진 이...
4시간 전
익인3
사람들 다 저렇지않나..?
5시간 전
글쓴이
밑에 사진 추가했는데 봐줄 수 있어?
4시간 전
익인4
진짜 누렁니를 못봤구나
5시간 전
글쓴이
밑에 사진 추가했는데 봐줄 수 있어?
4시간 전
익인5
응 근데 나도 그래… 화이트닝받고싶음나중에
5시간 전
글쓴이
밑에 사진 추가했는데 봐줄 수 있어?
4시간 전
익인5
봤엉 그래도 엄청 누렇진 않은거같어 보통보다 살짝 더 누런정도..?
4시간 전
글쓴이
익인 5도 치아 미백 생각중이야?
4시간 전
익인5
으응.. 틀 맞춰서 뿌려놓고 자는거 생각중이야
4시간 전
글쓴이
5에게
익인이도 나처럼 누렁니 심해?ㅠㅠ 근데 미백하면 이 시리다길래ㅠㅠㅠ
4시간 전
익인5
글쓴이에게
엉 나도 딱 쓰니정두…ㅜㅜ 틀채워서하는건 이 좀 덜 시리다고 들어서 시도는 해보려고.. 잇몸에 안 좋은거 느껴지면 그만두고
4시간 전
익인6
와 진심 나도 저래 ㅠㅠ 미백하고픈데 시리다해서ㅠ…
4시간 전
글쓴이
그니까ㅠㅠㅠ 이 약해지고 시리다해서 치아 건강 잃을까봐..ㅠㅠ
4시간 전
익인7
좀 누런거같긴한데
치과에선 미백하면 이빨도 약해지고 시리다해서 난 걍 사는중..~
4시간 전
글쓴이
웃을 때 너무 신경쓰여서 스트레스 받아가지고ㅠㅠ 저정도로 사람들이 볼 때 더럽게 보진않겠지?
4시간 전
익인8
나도 그런데 그냥 살아ㅠㅠ 이 시린거 너무 고통스러워
4시간 전
글쓴이
익인이는 주변사람 신경 안 쓰여?ㅠㅠ
4시간 전
로그인
후 댓글을 달아보세요
이런 글은 어떠세요?
살아있는 신이 된 네팔의 2살 소녀 '아랴타라 샤크야'
이슈 · 4명 보는 중
AD
가난하진 않은데 부유하지도 않은 상태
이슈
와이프가 혼자 해외 배낭 여행을 갔습니다
이슈 · 6명 보는 중
여드름과 비슷한 모낭염의 특징
이슈 · 4명 보는 중
AD
토스 엽떡 당첨운 좋았다
일상
AD
포카칩, 파랑이 많이 팔릴까 초록이 많이 팔릴까?
이슈
소녀시대 멤버들은 결혼 안한 거 굉장히 후회할듯
이슈
90년대생들이 기억하는 잔인한 장소, 당신은 가봤나요?
이슈
AD
얘들아.... 롱코트 색깔 365일째 고민중이야🥲🥲
일상
암수술을해서 급하게 집을 빼야해서 청소를 맡겼다는데요
이슈 · 1명 보는 중
AD
현재 점점 더 말라가는 아이브 리즈..JPG
이슈 · 5명 보는 중
AD
메밀소바 먹고 ㄹㅇ 죽을뻔한 후기
이슈 · 2명 보는 중
AD
흑백요리사2 윤남노 흑팀 편파 심사 의혹.twt
이슈 · 1명 보는 중
겨울 상의 하나만 골라주라🥹❤️❄️
일상
AD
일어나자마자 엽떡 세통때리는 쯔양
이슈 · 1명 보는 중
돌반지 때문에 이혼하게 생겼네요
이슈 · 3명 보는 중
전체
HOT
정보/소식
팁/자료
기타
댓글없는글
일상
l
너네 예랑이점심 솔직하게 어케 생각해?
138
일상
l
오늘 약속 없는 익들은 왜 없어?(진짜 궁금해서)
113
일상
l
원래 남매끼리는 연인같은 모먼트가 좀 있어?
82
이성 사랑방
l
애인폰 봤는데.. 하
57
메이플스토리
l
점프키 주력기 위치 어디임?
30
야구
l
누나들 먹을거 얘기하자
33
만화/애니
l
만화책 보는 젤 합리적인 방법이 뭐야(불법x)
25
혜택달글
l
방어 서로 눌러주자
34
KIA
l
무지들아 새해복많이받아❤️💛
15
한화
l
뽀리들아 새해 복 많이 받아 (っꈍ ө ꈍ)っ ෆ♡🧡
13
BL웹소설
l
쏘들 새해 복 많이 받아!!
14
삼성
l
💙라온이들 2026 새해 복 많이 받아💙
12
키움
l
로즈들 해피뉴이어🌹
12
롯데
l
갈맥들🌺❤️
10
BL웹툰
l
나 백라이트 깐다..? 까도돠는거맞지?
9
흑흑 베란다에서 초라하게 보는 중
7:42
l
조회 1
생리통 심해서 약속 취소해도 이해해 줄까
7:41
l
조회 3
스타벅스 뭐 주는거야?
7:39
l
조회 7
얘드라 일출 시작됐니..
2
7:38
l
조회 22
이성 사랑방
연애중
애인한테 아직 화났냐고 물어볼까..?! 도와줘 둥이들아ㅜㅜ
1
7:37
l
조회 6
정신과 질환이 진짜 무섭다
1
7:34
l
조회 41
롯데월드몰 줄 엄청긴 두쫀쿠 사먹었는데 별로야 비추해
1
7:31
l
조회 25
선물 받았을 때 뭐가 제일 좋아?
7:31
l
조회 10
강아지 발 너무 귀엽지않아?
7:30
l
조회 9
엄마한테 연락할말 고민돼
3
7:28
l
조회 58
20대되면 시간 개빨리간다더니
1
7:27
l
조회 57
소시지 하나 먹었는데 배부름
7:26
l
조회 5
혹시 트위터 쓰는 익들 있어??
7:24
l
조회 40
흑백요리사 9화 보고 우는사람 나밖에 없을듯..
7:23
l
조회 17
중고 장터 🛒
내 물건 팔기
58000원
블핑 제니 메리제인 260~265
아는형님에서 제니가 신었던 메리제인입니다! 직접 직구로 샀어요!앞굽은 3~3.5cm 뒷굽은 7.5cm 정도예..
58000원
블핑 제니 메리제인 260~265
아는형님에서 제니가 신었던 메리제인입니다! 직접 직구로 샀어요!앞굽은 3~3.5cm 뒷굽은 7.5cm 정도예..
8000원
인티에서 5년째-유튜브 월결제 모집
안녕하세요 유튜브 프리미엄 월결제로 사용가능합니다 구글단속으로 달마다 계정 바뀔수도 있습니다일대일 챗주세요감사합..
95000원
올리브영 10만원 기프트 카드
12750원
티빙 프리미엄 4인팟
인원 모집합니다
50000원
틱톡 라이트 신규 가입자 구해요!
오류없이 가입해주시고 공차기 성공해서 디엠으로 인증해주시면 바로 5만원 보내드릴게요!https://lite.t..
5000원
롯데시네마/ cgv 영화 예매
원하는 영화 오늘만 장당 5천원에 예매해드려욥
25000원
장 미셸 바스키아 특별전 2매 일괄
과거와 미래를 잇는 상징적 기호들 동대문디자인플라자(DDP) 뮤지엄 전시 1관전시기간(~2026년 1..
ㅇㄱ 오늘도 개춥다
1
7:22
l
조회 11
어제 맵슐랭먹고 고통받는 중
1
7:20
l
조회 12
근데 슬래머여두
7:20
l
조회 20
07들 모바일 신분증 해둬라!!
1
7:19
l
조회 42
일출 안 보는데 일찍 일어난거 억울하군
2
7:19
l
조회 58
이성 사랑방
요즘 그래도 잇팁이 예전보다
7:17
l
조회 30
더보기
1
2
3
4
5
6
7
8
9
10
다음
일상
이슈
연예
드영배
7:38
1
스벅 오픈런 선착 성공함
13
2
나 스벅왓엉ㅇㅋㅋㅋㅋ
12
3
새해 첫끼
2
4
엄마한테 연락할말 고민돼
3
5
정신과 질환이 진짜 무섭다
6
20대되면 시간 개빨리간다더니
7
갤럭시가 확실히 수명이 엄청 짧긴 하네
14
8
일출 안 보는데 일찍 일어난거 억울하군
2
9
롯데월드몰 줄 엄청긴 두쫀쿠 사먹었는데 별로야 비추해
10
혹시 트위터 쓰는 익들 있어??
1
매년 200만달러를 자기몸에 투자한 결과
25
2
청첩장 안 받았다고 축의금 안 낸 동기
25
3
이 종이가방 들고 다니면 사이비가 말 안 걸어
6
4
31살밖에 안된 손자를 CEO로 낙하산 꽂아넣어서 난리났었던 산리오
23
5
공무원시험 강사가 제일 안타깝게 보는 수험생 케이스
6
6
🚨당장 내일부터 찾아오는 세 가지🚨
391
7
2026년 95년생한테 써먹기 좋은 짤
8
희귀 성씨의 서러움
18
9
며칠 전 콜라 24캔을 시켰는데 판매처에서 실수로 48캔을 보냈다는 전화가 왔다
10
"돈보다는 아이 안전이 우선”…건물 뚫어 통학로 낸 건물주
11
세상 무해한 소아과 치과의사의 스레드 모음
12
동네 할아버지가 하는 통닭집. jpg
13
결혼은커녕 연애도 안 하는 요즘 2030.jpg
37
14
결혼 5년차 이혼썰
9
15
(혐오주의) 티눈갤러리 신흥강자 등장
99
16
두쫀쿠 먹고 입술 까매진 장원영
50
17
현재 서로 충격받고있는 도쿄 매머드커피 상황..JPG
41
18
2026년 첫 권은비
1
가요대제전 진짜 늦게 끝났나보네
2
정리글
이재명 정부 가장 일 못하는 장관 TOP5
2
3
진짜 일본 여돌만큼 나이 스펙트럼 넓은곳 없는듯
4
지상파 삼사 가요 축제 어느 방송사가 구성 잘짠것같아?
6
5
아니 유식현지 머야
1
6
내 최애 정신 ㄹㅇ 건강해보여서 신기함
2
7
ㄱ
알디원 렝원 영원히 사랑해
8
백현윤녕은 오늘 화 기점으로 어때?
3
9
정보/소식
약 73년전 한 외딴 나라에서 새해를 맞이하는 청춘들...
1
10
돌인형들 있잖아 해외에서도 인기 많은 굿즈임?
1
11
아 현지 개웃곀ㅋㅋㅋㅋㅋㅋㅋㅋㅋ
1
정보/소식
2025 SBS 연기대상 수상자 명단
5
2
신동엽이 중간에 시상자들 나와서 아무말 안하고 서있으니까 이게 뭐하는짓이냐고 한게 웃기고 불쌍했음
5
3
습스 연대 신동엽 아니였으면 시상식 크게 망칠뻔
11
4
임지연 한복 진짜 레전드로 잘어울려
5
5
신동엽 나중에는 대놓고 엠씨 또 할거냐고 돌려서 물어보기도 함...
1
6
아까 장나라가 sbs는 제 굿파트너 인거같죠 할때 졸라머싯어
2
7
김지원 오늘 진짜 개예뻤어 하
14
8
김지원 이런 단발은 초면 같은데
18
9
습스 연기대상 아역상 시상 안했네
10
습스 베커상 때 다들 플랜카드 드는데 육성재 김지연ㅋㅋㅋㅋㅋ
12
11
이제훈 모택1때가 대상 후보가 원더우먼 이하늬 펜하 김소연 이였구나
3
12
문상민이랑 채원빈 같은 웹드에서 쌍둥이로 나왔는데
13
장나라, 김혜윤 조합 개큰기대다
4
14
근데 요새 진짜 작품 빨리 차는거맞지??
5
15
아이돌아이
김재영 왤케 웃겨 ㅋㅋㅋㅋㅋㅋㅋ
16
김지원 퇴근길
7
17
이제훈 대상 뭔가 여러가지 공식들 깨부신 것 같아서 좋다
5
18
케사 연기대상이 이번에 엠씨 잘 고른거같음
8
19
습스 걍 시상식 다 노잼이었음
4
20
김지원 장나라 수트 착장 느좋
5
인스티즈앱 설치
소개
이용 문의
광고/제휴
채용
권리 침해
개인정보취급방침
(주)인스티즈 사업자등록번호 : 655-86-00876
통신판매업신고 :
2017-서울강남-03991
대표 : 김준혁
© instiz Corporation