호출 예약
호출 내역
추천 내역
신고
1주일 보지 않기
카카오톡 공유
https://instiz.net/name/65586109
주소 복사
상세 검색
카테고리
기간
시간순
조회순
추천순
댓글순
스크랩순
~
기간 탐색
회원가입
이용 방법·규칙
ID 저장
자동 로그인
HOT
이슈
일상
연예
드영배
장터
픽션
공포
뷰티
스터디
iChart
출석체크
게임
변경
인기글
기존 자체 서버에서 시장 점유율 1위 AWS 서버로
이전하였습니다, 더 좋은 서비스로 보답하겠습니다
l
공지가 닫혀있어요
l
열기
필터링
전체 게시물 알림
일상
신설 요청
야구
혹시 미국에서 여행 중이신가요?
여행
l
외국어
l
해외거주
l
해외드라마
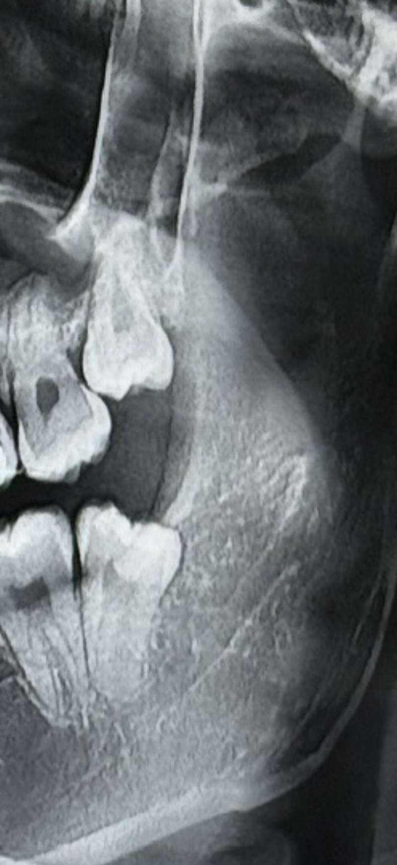
사랑니 잘알있어? 난이도 높은거야?
7
1시간 전
l
조회
29
인스티즈앱
익인1
매복 저정도는 무난
1시간 전
익인2
개쉬움
1시간 전
익인2
잘하는 곳 가면 하나에 1-2분 컷 함 마취시간 빼고
1시간 전
글쓴이
동네치과에서 빠꾸 먹고 대학병원가라는데 대학병원까지 가야하나해서 ..
1시간 전
익인2
동네치과는 당연히 에바고 ㅣㅋㅋㅋㅋ 걍 근처 구강악안면외과 가면 돼 대병도 에바임
1시간 전
익인2
신경이랑 엄청 가까운 편도 아니어스
1시간 전
익인3
나랑똑같네 그냥뺐어! 아프지도 않았옹
1시간 전
로그인
후 댓글을 달아보세요
이런 글은 어떠세요?
AD
엔믹스 릴리가 책 53권 읽고 쓴 독서 결산 노트
이슈 · 17명 보는 중
라면 개맛있게 먹는법 알려줄게 ㄹㅇ
이슈 · 15명 보는 중
백종원 지는 국수 4500원에 팔면서 ㅋㅋㅋㅋ
이슈 · 11명 보는 중
한국인이 뽑은 주변국 정상 호감도 다카이치가 1위인 이유.jpg
이슈 · 2명 보는 중
AD
AD
중3 딸방에서 피임기구가ㅠㅠ
이슈 · 10명 보는 중
미담으로 기사뜬적이 없는것같은 연예인.. 이번에는 레시피표절함...
이슈 · 4명 보는 중
아니 민음사 도대체 2월 1일에 무슨 결심을 한 거임?
이슈 · 10명 보는 중
AD
전우원 뉴욕대 AI 프롬포트 학과 나왓음? 대체 프롬포트를 어떻게 썼길래 저런 게 나오지.twt
이슈 · 12명 보는 중
20대 후반 익들아 친구한테 이거 선물받으면 좋음?
일상 · 2명 보는 중
AD
숨도 안차고 러닝 뛰는 츠키보고 기겁한 기안84.jpg
이슈 · 12명 보는 중
이찬혁인줄 알았다는 오늘자 지드래곤.JPG
이슈 · 8명 보는 중
AD
해외 에겐녀들 추구미
이슈 · 13명 보는 중
(사진) 웨딩드레스 일케 입은 여자들,, 골 비어 보임;
일상 · 6명 보는 중
서울대 합격하고 자괴감 온 서울대생
이슈 · 5명 보는 중
AD
AD
박나래vs매니저 논란 약간 반전을 맞음
이슈 · 6명 보는 중
4살로 돌아가버린 24살 딸
이슈 · 20명 보는 중
전체
HOT
정보/소식
팁/자료
기타
댓글없는글
일상
l
카톡 왼쪽이 이상함vs오른쪽이 이상함
337
일상
l
경상도 사람들은 성격이 왜 이래..?
265
일상
l
최가온 스토리 좋았는데 사는 집이ㅋㅋㅋㅋ
224
이성 사랑방
l
전애인이랑 10년 동거한 사람 만날수 있어..?
143
한화
l
OnAir
🧡🦅 멜버른 에이시스와의 2차전 260214 연습경기 달글 🦅🧡
587
야구
l
아 물고기 사진 뻘하게 웃기네
38
BL웹툰/웹소설
l
소설
베리들이 2026년에 읽었던 벨소들 중에서 제일 재밌었던 건 뭔지 알려줘!
34
롯데
l
.
18
혜택달글
l
토스
토스 세뱃돈
19
삼성
l
마음이 따뜻해지는 소식이네요..🥵
11
두산
l
10개팀 중 🧸우리가 10-20대,여성팬이 제일 많다고?
9
T1
l
프리오더 바로 열리네
10
메이플스토리
l
발깨비파 vs 홍깨비파
9
만화/애니
l
요즘 핫한 애니가 머야
21
KIA
l
그럼에도 최지민은 제구 문제를 떨치지 못했고, 이번 캠프에서는 투구 플레이트를 밟는 방향을 바꿔보기로 했다
6
내일 온천가는데 긴팔+후드집업 vs 후리스 하나 하면 무조건 후자인가??
23:20
l
조회 1
상품권 생겨서 오랜만에 책 샀다 헤헤
23:20
l
조회 1
간호 실습 왜 나가는지 모르겠음 시간돈 다 아까움
23:20
l
조회 1
나 주량 뭐야..
23:20
l
조회 2
갤럭시 쓰는여자 좋던데 ㅋ
23:19
l
조회 5
딸한테는 아빠가 세상 전부가 맞아
23:19
l
조회 5
동생 화났는데 어떻게 풀어..?
23:19
l
조회 8
하 설 용돈 드리고 뭐라 소리 들었어
23:19
l
조회 5
디올 블루밍부케가 청순한 향은 아닌가?
23:19
l
조회 6
우리 아빠 자폐아임?(19금)
3
23:19
l
조회 18
틱톡켯다가 깜놀함
1
23:19
l
조회 8
내 얼굴 이목구비는 ㄱㅊ은데 얼굴 크기만 딱 줄이고싶다
3
23:18
l
조회 11
우리 아빠 왜이럴까..
1
23:18
l
조회 5
나 진짜 어떡함
23:18
l
조회 6
ㄱ
국른
추가하기
더보기
ㄱ
국른온리전ㅠㅠ 국른러 개같이 부활
장터
다른방에 잘못 올려서 논샬롱님 뷔국 단편집 ㅠ
ㄱ
논샬롱님 뷔국 단편집 도착했다
ㄱ
정국이 진자 넘 귀엽다... 명창 강아지
ㄱ
나 뷔국 역치 왜 이제 봄??
2
혹시 지정 연성책 사고싶은 탄 있을까??
인플루엔서는 진심 본인한테 취해있어야 할 수 있는 듯
4
23:18
l
조회 10
도비는
1
23:17
l
조회 5
혼자 서촌가서 노는거 어때?
23:16
l
조회 7
렌즈끼는 익인데 알콘렌즈 정말 좋은데 개비싸ㅠㅠ
2
23:16
l
조회 15
시어머니가 스트레스 받지 말라는데
4
23:16
l
조회 15
점 보러 가고 싶어서 예약 문의하니깐 11월부터 가능함 ㅠㅠ
2
23:16
l
조회 13
더보기
1
2
3
4
5
6
7
8
9
10
다음
일상
이슈
연예
드영배
23:20
1
디저트39 두바이케이크 대박인데? ㅋㅋㅌㅋㅋㅋ
8
2
다들 한달만에 15kg 빼는 다이어트법 알려줄게
7
3
가나디 그릇 나름 합리적 소비겠지..?
18
4
친척집 갈때 꾸미고 가?
17
5
오사카 갈 예정인 익들 대로변 숙소 절대절대 잡지마라
2
6
너무 내 추구미 ㅋㅋㅋ
1
7
기부 100만원씩 8년했다하면 어때?
18
8
잘 사는 친척 있으면 진짜 안좋은 것같아
2
9
어니 걍 신점이나 타로 믿는 지능이
5
10
인스티즈에 이상한 애들 왜캐 많냐
6
11
혼자사니까 스팸 참기름 식용유 다 있는 명절선물세트가 좋음
3
12
대학생인데 전세 산다고 하면 돈 많아 보여??
9
13
효과 많이 본 탈모샴푸 곧 단종이라는데 10개 쟁이는거 어떻게 생각해..?
14
14
5시간동안 뭐하면서 버티니
2
15
시어머니가 스트레스 받지 말라는데
4
16
너네 게스트하우스나 숙소(호텔X)에 있는 세탁기 쓸 수 있어??
3
17
우리 아빠 자폐아임?(19금)
18
댜들 이번달에 뭐살거야??
8
19
보험 고딩 동창한테 들기vs어플로 들기
20
렌즈끼는 익인데 알콘렌즈 정말 좋은데 개비싸ㅠㅠ
2
1
와 나 강다니엘 이모 여태까지 뭔소린가했는데 이거보고 이제 이해함
30
2
다니엘과 민희진 상대로 431억원 손해배상소송 건 어도어
5
3
박지선이 남긴 말jpg
12
4
아이돌이 버블에서 피자스쿨 오지치즈포테이토 피자를 말하는법
2
5
발렌타인데이 초콜릿 먹으라고 버블로 올영 깊티보낸 남돌.jpg
6
현재 동남아 싸불이 기괴하게 느껴지는 이유..JPG
4
7
가루 타입 화장품은 유통기한 안 지켜도 됨❓❓ㅇㅇ 됨.jpg
11
8
집사 손길이 싫은 거다 vs 코어 운동 중이다
4
9
이7ㅓ 누가믿냐
32
10
한국인이 자살 많이하는 원인 중 하나로 언급되는 것
7
11
260214 방콕 슴콘 에스파 카리나 전광판.jpg
2
12
"한국 인종차별 미친 수준"…베트남 여성 주장 들어보니
8
13
대한민국 직장인 평균 일상
14
오늘자 안유진 인스타그램.jpg
15
BTS 슈가: 공익생활 하면서 한번도 근무지에 늦게간적 없다
68
1
솔지 민지희선 그림체 진짜 다르다
7
2
오늘자 세븐틴 위라 상황
18
3
동남아 애들 라마단 기간 다가온다고 교대로 한국인들 사이버 불링 할 계획 세우는 중
27
4
카카오맵 세조왕릉 댓글 막아놨네
4
5
혈육이 연예계 종사자인데 피디
3
6
재민 원빈 시온 꽤 친해진건가 ㅋㅋㅋㅋㅋㅋㅋ
4
7
같이 일하는 직원이 아이돌 동생인데 아이돌이 지금 해외인데 사진 보내줬는데 짜증난다고 해서
2
8
솔로지옥에서 누가 제일 예쁜거같아??
43
9
오늘 소다팝 엔딩
2
10
와 오겜 45번 아저씨 방귀대장 뿡뿡이 짜잔형 이였네..
3
11
오늘 소다팝 공주님 안기 주인공은 원빈ㅋㅋㅋㅋㅋㅋㅋ
14
12
솔지 피디 인터뷰론 현커들이 공개 연애 하는걸 꺼린다 했음
8
13
하루종일눈물만흐른다
14
와 원빈 소다팝 엔딩봐
6
15
세종이 역조공 원조네 진짜로
4
16
약간 숨쉬기가 좀 힘든데 이거 왜 이런걸까ㅜ
5
17
와 박원빈 진짜 찢었다 아니
14
18
아니 엑소 크리스마스데이 착장한거 봄..? 어떻게 이렇게 안늙지
4
19
모두가 기억해줬으면 좋겠는 박지선의 말
1
20
대형은 데뷔 안한 연습생도 팬이있나?
6
1
판사 이한영
이한영 결말 나만 이해 안 가나...?
6
2
근데 난 장항준이 왕사남해서 좋은 거 같음
8
3
밀수 조인성 박정민 김혜수 염정아 -> 휴민트 조인성 박정민 신세경으로 바뀐건데 왤케 흥..
10
4
왕사남 오늘새벽 200만 돌파면 진짜로 400만가겠네
3
5
쌈디 눈물 정도 흘리니까 닦을 의지조차 안 생기더라
4
6
왕사남 감독피셜 새벽에 200만 될거같대
2
7
레이디 두아 개열받네
2
8
왕사남 배경지식 없이 봐도 돼?
6
9
언더커버미쓰홍
근데 미쓰홍은 볼수록 남주 따지는게 의미가 없어보이는게
7
10
올해 백상은 왕사남 vs 어쩔없 싸움 빡세겠다
9
11
변우석 대군 끝나자마자 얼굴 바꾼거봐
14
12
이한영
백이석 너무 충격...
13
어차피 휴민트 망한영화인데 누구때문에 망했는지 따지는게 좀 웃기다
2
14
이한영 결말 어떰
2
15
이한영
세희몬 어떻게 됐어? 스포해줘
2
16
레이디두아 끝까지 본사람 잇어 ???
15
17
언더커버미쓰홍
봄이 왜나와파였는데 빌드업미쳤음
18
왕사남 실시간 예매율 33만 돌파했네
4
19
왕사남 n회차해도 좋을거같아
4
20
판사이한영
판사 이한영 시즌2 나올것같아?????
4
인스티즈앱 설치
소개
이용 문의
광고/제휴
채용
권리 침해
개인정보취급방침
(주)인스티즈 사업자등록번호 : 655-86-00876
통신판매업신고 :
2017-서울강남-03991
대표 : 김준혁
© instiz Corporation