양악수술로 인한 부작용사례
이 언니는 성형외과에서 양악수술을 받았음 ㅠㅠ
양악수술후 턱이 비대칭이됨.. 보다시피 입을 다물어도 혀가 저래나옴.
라면먹기가 힘들어서 결국 가위로 잘라먹음
식빵 부드러운건데 그것도 커피에 적셔먹음 ㅠㅠ
원래 약간 비대칭이 있어서 성형외과갔더니 양악수술을 춫현해줌
수술이 잘됐다고하는데 결국 잘못된 수술이어서 재수술받음.
1차수술후 아랫턱이 너무 들어가서 앞니를 쓸수가 없는 상황.
그래서 재수술했더니 이번엔 비대칭이되어버림.
1차수술 -(40일후)-> 2차수술
이거 한번만해도 엄청 힘든 수술인거 알지?
보다시피 외관상으로도 심각한 비대칭
결국 이 언니는 일상생활에 지장이 와서 받는 스트레스도 장난아님..
이 오빠는 성형외과에서 수술후 잘못되는 바람에
서울대치대병원에서 치료받고있는 중.
보다시피 입이 잘 안벌어져서 주사기로 힘들게 죽을 먹고있음.
세상에 뼈가 밖으로 나와서 이에 붙어서 지금
염증이랑 고름때문에 고생하고있음
병원장님이 아주 심각한 상황이라고 말씀하심.
허나 성형외과에선 괜찮다고 계속 말했기때문에
자신은 심각한 상황이라고 알지못함.
보다시피 지금 뼈가 노출되어 염증이 생기면서
뼈가 죽었음.(까맣게 된 부분.)
그런데 수술 이틀 째에 갑자기 코와 입으로 피가 마구 쏟아져서
결국 응급실로 실려감.
피가 멈추고 난 뒤에
염증크리
; 본인과실이면서 환자에게 돈받는 성형외고ㅏ의사 ^^ㅣ
자신들은 절대 잘못없고, 위험하지않다고함
결국 한 양심있는 치과의사덕에 자신의 상태가
심각하다고 알게됨.
대학병원 의사쌤은
절대 약같은 걸로 나을 상처가 아니었다고 말함.
오히려 수술 후 관리를 안한 환자탓함
의사측은 저 스플린트를 환자가 자꾸 풀고왔다고 했음.
하지만 환자는 너무 아파서 빼달라고 사정했음.
수술자체가 잘못됐으니까 저렇게 된 거 아니겠음?
수술후. 어금니는 맞지만 앞니가 맞지않음.
수술전 수술후
오히려 주걱턱이 더 심해짐.
보통 성형외과는 협진하는 치과가 있어서
치과가 설계도를 짜주면 그것에 맞춰서 성형을 함.
설계도대로 하지못한 자기잘못인정.
환자는 수술이 잘못된지도 모르고 교정으로
되는 줄알고 교정을 열심히 하고다님.
환자가 수술이 잘못되어서 교정으로도
안된다는걸 알지만
협진 치과의사들은 아무래도 성형외과랑 같이 하는거다보니
잘못됐다고 말을 못함.
그래서 그냥 교정기만 덮어주고 끝냄.
이.. 것들이?!
최근에 성형외과에서 턱수술을 받고
부작용때문에 대학병원을 찾는 사람들이 늘어남.
이 환자의 경우는 성형외과에서
윗턱을 너무 많이 잘라서, 기형적으로 얼굴이 작아졌음.
그대로 생활하다보니 점점 얼굴에 붙은 근육이 떨어져나가고,
입을 못벌리는 사태에 처함
헐 말로만 들어도 끔찍함
턱수술 부작용으로 턱이 빠져버린사람들은
저렇게 인공적인 기계를 달고다님...
ㅠㅠ 너무 슬픔
이 언니는 원래 치아가 삐뚤었는데 거기서 턱만 깎아 넣었기때문에
저렇게 되어버림
의사쌤의 간단한 결론. ㅜㅜ
사람이 옆에서 죽어가는데
이비인후과의사이신 이 언니 남편분이
자기가 기관절개수술을 하겠다했는데
수술을 못하게 막음
으?이?! 이 넘이?
결국 소송걸고 이겨서 치과의사한테
의료사고 인정받음
양악수술 사망률의 대부분 원인..ㅜㅜ
대학병원에는 그럴때를 대비해 여러 기구들이 준비되어있음..ㅇㅇ
★본격 대학병원과 성형외과의 수술 전 비교★
어기까지는 똑같음.. ㅇㅇㅇ
이제 성형외과는 수술 ㄱㄱ
하지만 대학병원은 아직 더 남았음.
여러가지 기구로 환자의 얼굴을 정밀하게 재고,
본뜬 모형으로 수술을 해본 뒤,
맞는 결과가 나오면 그 때 수술 들어감.
얼굴의 두상을 3D로 보여주는 기계로 촬영 뒤,
고통을 최소화하기위한
정밀검사를 들어감.
이건 요새 양악수술광고가 많은 것을 보면 알 수 있겠지..
★ 서양은 이렇게 하고있음.
대부분 구강외과에서 모든 수술을 맡음..
하지만 우리나라는....
ㅜㅜ
BUT
이렇게 끝남. 그리고
나 보다가 빡친 거 있어서 언니들한테
내 해골 인증하고 보여드림..
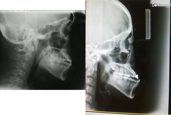
↑↑ ↑↑
아까 위에서 나온 양악수술 부작용 오빠의 수술전 내 X-ray사진.
여기서 뭘 봐야하는지 알아??
일단 나랑 저 오빠 모두 주걱턱인것과, 윗턱 치아의 각도를 봐봐.
둘 다 비슷하지?
이건 나랑 이 오빠가 주걱턱이라 그런건데,
원래 정상인의 각도는 95도? 이정도 일거야. 거의 직각에 가까운.
근데 나랑 저 오빠는 60도정도밖에안되지??
저 오빠의 부작용은 아마 저기서 거의 다 왔을거야.
윗 설멍처럼, 양악수술은 윗턱을 잘라서 먼저 집어넣은다음에,
아랫턱을 윗턱에 맞게 잘라서 넣는거야.
수술할 때 윗턱때문에 거의 좌지우지한다고 볼 수있어.
근데 저 오빠는 윗이빨이 첨부터 누워있잖아?
정상각도에 맞춰서 한게 아니라
이미 잘못된 윗턱을 가진 상태로 수술을 하니 잘못될 수밖에.
저런 경우는 교정을 먼저 들어가서
교정으로 윗이빨을 세워준다음에 수술을하지.
아마 저 오빠는 교정 먼저 했다면 양악 할 필요도 없었을거야.
교정하고서 하악 수술만해도 정상이 될 수 있었을텐데.
보면 나보다 주걱턱이 덜 심하잖아.
난 그래서 저부분에서 빡쳤어.
자기들이 아무리 잘하는 수술법을 배웠다고해도,
저렇게 치아에대해 모르고, 심미적인것만 중요시하니까
저렇게 안좋은 일들이 생기잖아.
왜냐면 셩형외과에선 일단 돈버는게 중요하기때문에
어떻게든 머릿 수 더 채울려고
저렇게 교정이 필요한 환자한테
교정을 안시키고 수술 먼저 해도 된다고하지.
그 후에 생기는 문제는 보면 아시다시피 다 대학병원가서 하기때문에
자기들은 책임안져도 되는거구.
그러니까 언니들도 왠만하면 대학병원에서 수술하길바라.
그리고 수술전에 교정먼저 하길바라!!!
아마 언니들이 이미 나처럼 부정교합이면
수술먼저 해야 할 사람들 거의 없을겨..ㅜㅜ
아참 나는 이제 교정들어가고 2년정도 뒤에 교정끝나면
하악수술로 턱넣기로했어. 물론 대학병원에서 ^ㅅ^

인스티즈앱
현재 나솔 따돌림 𝙅𝙊𝙉𝙉𝘼 더 충격적이라는 후반부..JPG