
이 환자는 5년만에 스케일링을 받는 환자
(심지어 교정해서 유지장치ㅠㅠ)
스케일링은 치석이 쌓인걸 제거하는건데...
치석은 칫솔이 닿지 못한 부분에 쌓이는
음식물찌꺼기+세균등이 엉겨 붙어서...

딱딱하게 굳어버림->치석


오복중 하나인
치아
인간적으로 40살쯤 되면 한번 더 이갈이 해줘야하는거 아니냐고ㅠㅠ..


계속 쌓이면 제거하는데도 오래걸리거
잇몸약해짐+구강병+염증+치주낭
잇몸뼈인 치주골까지 소실되면 치아발치도 해야함
의료보험 적용되니(1년마다)
15000-16000원이면 받을수있음ㅠㅠ
(적용안되면 60000-70000원 하는듯)


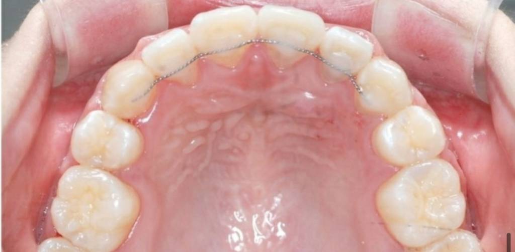
특히 교정한 사람들은
아랫니 뒤에 치석 진짜 잘 쌓임..
칫솔세우고하고 치간칫솔쓰고
(유지장치땜시 치실은 못씀) 워터픽해도
쌓여버리는 치석....
치아도 유전이라 관리 잘해도 충치 생기는 사람 있다고 했는디
치석도 관리 잘해도 스케일링 꾸준히 받아야함..

인스티즈앱