호출 예약
호출 내역
추천 내역
신고
1주일 보지 않기
카카오톡 공유
https://instiz.net/pt/7024826
주소 복사
상세 검색
카테고리
기간
시간순
조회순
추천순
댓글순
스크랩순
~
기간 탐색
회원가입
이용 방법·규칙
ID 저장
자동 로그인
HOT
이슈
일상
연예
드영배
장터
픽션
공포
뷰티
스터디
iChart
출석체크
게임
변경
인기글
필터링
전체 게시물 알림
이슈
유머·감동
정보·기타
이슈·소식
유머·감동
할인·특가
팁·추천
뮤직(국내)
고르기·테스트
이슈
오싹공포
혹시 미국에서 여행 중이신가요?
여행
l
외국어
l
해외거주
l
해외드라마
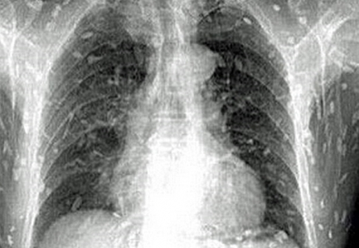
(혐오주의) 생선회 먹고 기생충이 온몸에 퍼진 남성
332
4년 전
l
조회
259261
출처
인스티즈앱
이 글은 4년 전 (2021/9/05) 게시물이에요
많이 스크랩된 글이에요!
나도 스크랩하기
l
카카오톡 공유
55
34
55
1
2
3
맛탕
지금 바로 구충제 먹었네요
4년 전
빵쥬세요
Giive me
이마트 연어 괜찮겠져 ㅠㅠ괜히소름
4년 전
흥앵애애앵
치료는 어떻게 하는거징 ..
4년 전
라이토
神
사진 많이혐오스러운가요 ㅠ??
무서워서 못보고있어요...ㅜㅜ...
저도 구충제먹어야겠어요..ㅠㅠㅠ
4년 전
So 4 More
그냥 엑스레이사진인데 기생충이 많아요! 전 그닥 징그럽지는 않았는데 좀 소름돋긴했어요
4년 전
라이토
神
아하 ㅠㅠ 감사합니다..!!😢👍
4년 전
쫄깃쫄깃
악...어떻게 저렇게 온 몸에 퍼지지..
4년 전
숲속의미노공주
소름돋게 징그럽네요..
4년 전
댕냥
아 어제 초밥 먹었는데...
4년 전
1
2
3
로그인
후 댓글을 달아보세요
이런 글은 어떠세요?
유치원숙제) 엄빠 사과는 왜 딱딱해요?.jpg
이슈 · 3명 보는 중
"남편 중요부위 절단해 변기에 버려"…50대 아내 살인미수 '무죄'
이슈
AD
현재 논란인 여론조사 수법 .jpg
이슈 · 2명 보는 중
AD
이번 동남아 사태를 그냥 무시하자고 하면안되는 이유
일상 · 1명 보는 중
현재 방탄때문에 급작스럽게 폐업중인 부산시..JPG
이슈 · 2명 보는 중
아내의 베개와 남편의 베개
이슈 · 4명 보는 중
AD
AD
3월에 가져야할 퀸의 마음가짐
이슈 · 7명 보는 중
쇼미 나온 버추얼 아이돌 근황....
이슈 · 2명 보는 중
주말 외박나간 육군 병사, 튀르키예로 해외 탈영
이슈 · 4명 보는 중
AD
현재 행정력 총동원되고 있다는 서울시 광화문 행사
이슈
AD
2026년 봄/여름 패션 트렌드라는 것
이슈 · 2명 보는 중
김밥집에서 돈까스 강매 당함
이슈 · 3명 보는 중
이런 몸매는 말라도 운동하는거지 ??
일상 · 1명 보는 중
AD
포레스텔라 멤버들이 불렀던 김연아 애칭
이슈 · 8명 보는 중
국립중앙박물관 카카오 이모티콘 무료 배포 (~4/16)
이슈 · 1명 보는 중
16년 전 동덕여고 축제 수준
이슈
AD
전체
HOT
댓글없는글
이슈·소식
l
"제발 연습 좀”…'대군부부' 아이유♥변우석, 사이 좋게 연기력 논란 휩싸여 [스경X이슈]
192
이슈·소식
l
🪳내가 먹은 바퀴벌레 밥.. 식욕 돋을 때 보면 강제 다이어트 될 수 있으니 (사진주의!!!!)
196
이슈·소식
l
실베간 버튜버 오나홀 리뷰하는 이대남
167
이슈·소식
l
💥깜짝 .. 경상도에서 탕수육과 파전을 먹는 방법 (feat 아이린)
117
이슈·소식
l
현재 난리 난 의사아내되는 법 일타강의..JPG
113
이슈·소식
l
[단독] 과즙세연, ♥케이와 공개 열애 발표…"예쁘게 사랑하겠다"
98
이슈·소식
l
현재 여시 댓글창터진 남미새 실화..JPG
101
이슈·소식
l
버터떡 나락가고 젠지들 다음 유행이라는 디저트..JPG
92
이슈·소식
l
현재 한국만 체감 덜하다는 석유 파동 심각성..JPG
132
이슈·소식
l
[단독] 곽튜브 '김영란법' 여부, 권익위 검토 '새 국면'
97
민아가 당한 끔찍한 스토킹의 과정 ..jpg
137
21세기 대군부인 여주 캐릭터도 딱히 공감이 안가는 이유.jpg
88
정보·기타
l
더 지니어스 제작진들이 진짜로 당황했던 순간.jpg
108
이슈·소식
l
"타이어보다 못한 뚱녀"…롯데 최충연, 사인 요청한 팬에 막말 논란
57
이슈·소식
l
[단독] 지예은, ♥바타와 열애…배우·댄서 '동갑내기 커플' 탄생
59
사람들이 작가 손목 걱정한다는 웹툰 .jpg
10
19:02
l
조회 20355
l
추천 1
[1박2일] 유노윤호의 초딘 다루기
1
18:04
l
조회 1954
피해자 코스프레하는 일본인 개잘패는 트윗
9
17:51
l
조회 10487
네가 없는 세계 Manhwa
2
16:29
l
조회 1762
l
추천 1
어제자 개콘 나온 김수용 매운맛 개그…jpg
1
13:00
l
조회 9517
90년생들 공감하는 유행템
40
12:12
l
조회 21286
l
추천 3
자동번역 도입 후 계속 한일전쟁 터지는 트위터 상황 .jpg
2
11:58
l
조회 4172
크게 교통사고나 입원한 동생 챙기는 오빠. jpg
3
11:51
l
조회 16400
꽃이랑 럭셔리 화보 찍은 남돌.jpg
10:35
l
조회 1282
일본 긴자에서 만난 연성대 돈가스 열사 이창섭 .jpg
3
10:30
l
조회 8539
본인 안 예쁘다고 우는 팬 자존감 높여주는 남돌 실존.jpg
10:05
l
조회 1078
냥샤카라카 🐱
8:05
l
조회 295
물질하는 J-해녀보러 식당갔다가 생긴일.jpg
1
1:44
l
조회 1451
그룹에 매직핸드인 멤버가 있을 때ㅋㅋㅋㅋ .jpg
1:27
l
조회 2174
중고 장터 🛒
내 물건 팔기
14000원
해리포터 키링/핀뱃지 정품
‼ 전부 오사카 유니버셜 스튜디오에서 구매한 정품입니다‼ 1. 기숙사 키링 - 그리핀도르, 래번클로 일괄..
3000원
타로와 사주 봐드립니다
신청하실때 (타로or사주)질문 2개 / (타로or사주)15분 / (타로)미래타입 중 고르신..
15000원
지피티 1달 또는 10개월 모집
지피티 플러스 한달 15,000원지피티 고 10개월 45,000원 입니다 챗주세요
20000원
듀오링고 슈퍼패밀리 1년 모집
듀오링고 슈퍼패밀리 1년 모집합니다챗주세요
1000원
4/14 한화이글스 양도
3750원
라프텔 같이 할 사람!!
댓글 달아주!!
5000원
💖소름적중 타로💖 쩰린 타로
안녕하세요 내담자님 쩰린 타로입니다!2025년도 벌써 절반이 훌쩍 지나버렸네요.지금까지 어떻게 지내..
3000원
Skt 데이터 2기가 일괄 3000
유부남의 센스를 보여주는 상순이 형
1
1:22
l
조회 1788
핫걸 재질 릴스 말아온 아이오아이 멤버들.jpg
1
1:12
l
조회 2738
결혼 15년차 한지혜가 생각하는 결혼
04.12 23:02
l
조회 3799
아버지에게 배운 삶의 지혜
1
04.12 22:57
l
조회 1700
전공을 잘못 선택해 망했다는 사람
11
04.12 22:55
l
조회 22347
l
추천 6
외계인 고문해서 만들어낸 게 확실한 미국의 신기술
2
04.12 21:41
l
조회 8549
더보기
1
2
3
4
5
6
7
8
9
10
다음
이슈
일상
연예
드영배
20:14
1
레드벨벳 조이 근황..jpg
12
2
𝙅𝙊𝙉𝙉𝘼 당혹스러운 이휘재 복귀 요약..JPG
51
3
(충격주의) 남대생에게 과외받은 초등생 어머니가 쓰신 글..JPG
26
4
머리 단발한 환승연애4 민경
1
5
사람들이 작가 손목 걱정한다는 웹툰 .jpg
8
6
이병헌이 거절한 작품들
12
7
전소민 키 큰 거 사람들이 잘 모르는 이유.jpg
7
8
💻400만원짜리 컴퓨터 산다는 아파트 관리사무소 ㅋㅋ
10
9
실시간 코첼라 찢은 빅뱅 무대 ㄷㄷ…JPG
18
10
폭싹 속았수다 촬영할 때 눈썹 정리 안 한 아이유
1
11
아기 소리 듣는 30년차 여배우
3
12
존맛이라는 수입과자.jpg
13
독서실 빌런 공개처형
14
스토리에 모르고 나체사진 올리면 어떻게 해야할지 고민해보는 달글
15
저녁식사 사진 보냈더니 친구 반응
16
광주광역시에 생긴다는 3대 쇼핑몰
11
17
오늘 지드래곤 코첼라 비주얼 근황….jpg
1
18
👨🍳떡볶이 맛집 7곳과 최대한 비슷하게 만들어먹는 레시피
2
19
월요일 개장 대기중인 주식 시장.jpg
20
예전에 봤던 웹소설 내용이 막장이라 아직도 기억나
1
유산소 재밌어서 1시간씩 했는데......
13
2
큰아빠 신경과 의사인데 요번에 손가락 절단할 예정이래 진짜 속상해
5
3
월 320~330벌려면 무슨일 해야됌?
19
4
나이들고 사회생활하니까 조용한 사람들이 너무 좋음
6
5
아 진짜 샤갈 컴활 1급 개같네 진짜
16
6
샤브샤브집 왔는데 고기 이거 괜찮은거 맞나? ㅠ
6
7
집에 대형 팝콘 사놓지마라
2
8
인모드 fx 멍 미친거아냐? ㅋㅋㅋㅋㅋ
14
9
혹시 직장다니면서 이런일 겪으면 어떻게해 ..?
4
10
면접 공백기 질문 어떡하지…
5
11
사회생활은 아방수가 진짜 최고임
3
12
나 27인데 150밖에없음
2
13
말 많은데 빠르게하는사람 재앙이다 진짜
2
14
동공이 이런건 왜그런거야?
15
하루에 8천보 걸으면 많이걸은거야?
3
16
민생 3차 부모님이 공무원이면 못 받지?
2
17
난 날씨 따뜻해지는게 싫어..
1
18
신입들 보면 얘는 마음이 여리고 상처 쉽기 받는 타입이구나 싶은 그런 애들이 보여?
1
19
오늘 저녁🧡
1
20
가족이랑 살면서 집안일 많이 하는 사람들 멈춰
2
1
지금 데식 성진 유튜브 정주행 중인데 운전 습관 뭐야....??? 에바임
20
2
플레이브 랩 그냥 느껴
3
와 플레이브 라방 들어가봤는데
3
4
플레이브 아예 빡센 랩으로 곡 하나 나와도 될듯
2
5
네임드한테 싸불 당했는데...
4
6
윤남노 한입 핫도그 진짜 좋아하네ㅋㅋㅋㅋ
11
7
해외문화에 푹빠지면 한국의 모든게 촌스러워 보이는것같음
18
8
ㅍㄹㅇㅂ 랩하는 사람 누구야??
6
9
하이라이트 소속사 원래 이래?
21
10
데식 성진 머리 1년만 더 빠르게 자르지
17
11
민생지원금 받아서 어디에 쓸 예정이야?
9
12
ㅍㄹㅇㅂ 라방 보는데
13
플레이브 라방보는데
14
지드래곤 여기가 몇년도야
8
15
아니 오늘 코첼라에서 한 빅뱅 솔로곡들…
6
16
투바투 무대 풀버전으로 보니깐 더 2세대노래같다
1
17
근데 초과세수면 세금 더 낸 사람들한테 돌려줘야되는거 아냐..?
2
18
YG 아무것도 안해도 빅뱅이 알아서 다 해오는구나
6
19
데이식스 독방에 쿵빡이 뭔 뜻이야?
9
20
아 공중화장실 변기 이런거 개빡침
1
대군부인
오늘 알게된 쫀득한 대군내용
10
2
근데 연기 잘하는 배우는 오글거리는것도 안 과하게 잘하드라
5
3
정보/소식
아이유♥변우석, 연기력 갑론을박…공승연은 뜻밖의 재발견 [TEN스타필드]
12
4
근데 아이유 이해되긴 해
12
5
백상 인기상은 현빈 손예진 확정이라고 보면 돼?
10
6
대비는 걍 표면적 악역일뿐인듯...
15
7
이안대군이야 이완대군이야?
2
8
급상승
대군부인
근데 난 자막 없이 볼때 뭔가 더 집중 잘되더라
2
9
대군부인
변우석이 아이유한테 복수하는 방법
5
10
김태리 메이크업쌤 바꾼 거 너무 좋음…
28
11
대군부인
아이유 변우석이 빵을 좋아한다 하니까 왤케 좋아해 ㅋㅋㅋㅋ
10
12
유재석 예상한 이유가 핑계고,풍향고 조회수, 화제성 최고이고 놀뭐 폼 도랏고 유퀴즈 혼자서 잘하고 있고..
22
13
대군부인
정말! 진짜! 섹시하다!ㅋㅋㅎㅎㅋㅎㅋㅎㅋ
5
14
아이유 확실히 연기잘하는데 내가 좋게본 연기가
6
15
변우석
엘르에서 희주본 섹시하다 발언땜에 개빵터진거 개웃기네 아
12
16
근데 주말연속극 젤 명작은
17
대군부인 연기 호불호갈린대서 걱정했는데 난 호네
11
18
대군부인
거의 오늘 엘르 이거임
27
19
대군부인
오늘 엘르영상보니 둘이 진짜 친해보인다
20
대비캐 호불호 갈리는거 같은데 난 너무 내스탈이라 심장떨려서
6
인스티즈앱 설치
소개
이용 문의
광고/제휴
채용
권리 침해
개인정보취급방침
(주)인스티즈 사업자등록번호 : 655-86-00876
통신판매업신고 :
2017-서울강남-03991
대표 : 김준혁
© instiz Corporation