호출 예약
호출 내역
추천 내역
신고
1주일 보지 않기
카카오톡 공유
https://instiz.net/pt/7534686
주소 복사
상세 검색
카테고리
기간
시간순
조회순
추천순
댓글순
스크랩순
~
기간 탐색
회원가입
이용 방법·규칙
ID 저장
자동 로그인
HOT
이슈
일상
연예
드영배
장터
픽션
공포
뷰티
스터디
iChart
출석체크
게임
변경
인기글
필터링
전체 게시물 알림
이슈
유머·감동
정보·기타
이슈·소식
유머·감동
할인·특가
고르기·테스트
팁·추천
뮤직(국내)
이슈
오싹공포
혹시 미국에서 여행 중이신가요?
여행
l
외국어
l
해외거주
l
해외드라마
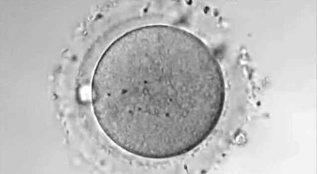
자연수정 vs 시험관 시술 직후 난자 차이.jpg
1년 전
l
조회
2303
인스티즈앱
이 글은 1년 전 (2024/5/11) 게시물이에요
자연수정
이렇게 영향이 없는게 자연적인 수정
시험관시술
1
1
로그인
후 댓글을 달아보세요
이런 글은 어떠세요?
AD
현재 잘생겼다고 난리난 영포티 아저씨 과사..JPG
이슈 · 4명 보는 중
우리나라 지역 이름 중 예쁘다고 생각하는 지명 말해보기.jpg
이슈 · 1명 보는 중
한국살이 10년 만에 나혼산 출연한다는 츠키
이슈 · 1명 보는 중
"누수 확인한다더니…” 속옷 꺼내 30초 들여다본 관리실 직원
이슈 · 3명 보는 중
AD
돌고돌아 롯데리아에 정착하는 이유
이슈 · 1명 보는 중
AD
84세 이웃 할머니 성폭행 시도한 76세 할아버지
이슈
[단독] "요격률 90%"… 한국 무기가 이란 미사일 막았다
이슈
AD
쓸데없는 걸 수출해버린 한국.jpg
이슈 · 1명 보는 중
두쫀쿠정도는 담백한 수준이라는 두바이 수건 케이크
이슈 · 4명 보는 중
그동안 대구만 혼자 좋은 버정 쓰고 있었음
이슈
AD
현재 핫하다는 서문시장 어묵녀
이슈 · 1명 보는 중
AD
프리지아 "갤럭시 쓰는 남친 싫어..너무 짜증나"
이슈 · 7명 보는 중
AD
광화문 편의점 김밥 재고 200개
이슈 · 1명 보는 중
예전에 토스 무료주식 줬을때 한전 받았거든?
일상
레이디두아에서 사라킴이 성공시킨 부두아 백
이슈 · 1명 보는 중
네이트판) 서로 관심 있어하는 카페알바생 휴대폰 투명케이스
이슈 · 9명 보는 중
AD
전체
HOT
댓글없는글
리얼돌 국내 통관 막혔던 처분 취소됐다고 함
122
서운하다vs아니다 실시간 논란이라는 김지영 부부
116
(충격주의) 귀여운 그림체라 더 피폐하다는 인스타툰..JPG
150
시어머니께서 윗옷을 반쯤 벗은채 계셨다는거예요!
112
구내식당 영양사들이 없애려해도 못없애는 반찬
73
길거리에서 제자에게 5분동안 폭언을 들은 선생님.jpg
71
암컷곰이 뜬금없이 피투성이가 된 이유
71
금~토 예상 강수량..
64
현재 난리난 대형병원 5개 합격했다는 사람..JPG
146
아반떼가 진짜 만능이긴 함
72
24살 연하 아내와 세대차이
51
본인의 악뮤 지분이 50% 인줄 알았다는 수현.jpg
55
요즘 프랑스가 혐한에 미쳤거든
64
이런 걸로 살찌잖아? 진심 힘 세져 진짜
42
오늘 사과문 올린 빽다방 점주랑 550만원 뜯어 간 점주는 다른 사람임
50
[단독] "나는 무관”하다던 임형주, 알고보니 팝페라하우스 대표였다
15:16
l
조회 480
폭력사위서 딸 지키려 '3인동거'…'캐리어 시신' 장모, 장시간 폭행에 숨졌다
15:13
l
조회 339
만우절 3일차......
1
15:04
l
조회 1795
본인표출
분위기가 매력적인 중국 여배우.jpg
3
15:00
l
조회 2253
與 '포괄임금제 금지' 입법 착수
1
14:54
l
조회 1342
최애 열대과일 딱 2가지만 고른다면?
9
14:51
l
조회 1374
중소기업 마스코트 댕댕이
14:40
l
조회 2902
주식투자하고 우울증이 사라졌다는 공무원
2
14:38
l
조회 6770
l
추천 1
차준환 배우 새프로필 사진
21
14:38
l
조회 12101
일산 이비인후과 주사실에 붙여져있는 공지
20
14:26
l
조회 10006
레딧에서 은근히 갈렸던 드래곤볼 주제.JPG
14:25
l
조회 978
머리채 잡고 싸우는 자매의 문제를 한방에 해결한 엄마
14:24
l
조회 1730
오늘자 블랙핑크 리사 출국 기사 사진.jpg
2
14:24
l
조회 6810
요즘 대박 났다는 업계 근황
10
14:22
l
조회 10174
HOT
더보기
차준환 배우 새프로필 사진
17
다들 놀랐다는 마크롱 한글 글씨체…
23
엘베없는 7층 사는데 살다보니까 익숙해
16
일산 이비인후과 주사실에 붙여져있는 공지
19
탑 컴백 유독 반응 안 좋은 이유
14
슈룹에 같이 출연했던 이화겸 결혼식 사회를 봤던 김혜수
14:21
l
조회 791
현재 난리난 대형병원 5개 합격했다는 사람..JPG
147
14:13
l
조회 16690
l
추천 12
본인의 악뮤 지분이 50% 인줄 알았다는 수현.jpg
56
13:56
l
조회 19331
l
추천 5
(충격주의) 확실한 범죄자 판독기라는 것..JPG
17
13:52
l
조회 12932
l
추천 1
천박함주의) 일부 남초에서 여자 엉덩이를 지칭하는 단어
9
13:45
l
조회 7856
사람마다 다른 된장찌개 취향
5
13:35
l
조회 3938
더보기
1
2
3
4
5
6
7
8
9
10
다음
이슈
일상
연예
드영배
15:20
1
차준환 배우 새프로필 사진
18
2
요즘 대박 났다는 업계 근황
10
3
일산 이비인후과 주사실에 붙여져있는 공지
20
4
오늘자 블랙핑크 리사 출국 기사 사진.jpg
2
5
주식투자하고 우울증이 사라졌다는 공무원
2
6
분위기가 매력적인 중국 여배우.jpg
3
7
(충격주의) 확실한 범죄자 판독기라는 것..JPG
16
8
현재 난리난 대형병원 5개 합격했다는 사람..JPG
51
9
만우절 3일차......
10
[단독] "나는 무관”하다던 임형주, 알고보니 팝페라하우스 대표였다
11
본인의 악뮤 지분이 50% 인줄 알았다는 수현.jpg
47
12
중소기업 마스코트 댕댕이
13
與 '포괄임금제 금지' 입법 착수
1
14
최애 열대과일 딱 2가지만 고른다면?
8
15
천박함주의) 일부 남초에서 여자 엉덩이를 지칭하는 단어
9
16
슈룹에 같이 출연했던 이화겸 결혼식 사회를 봤던 김혜수
1
긴머리 레이어드컷 유행하는 게 덜 지저분해 보여서도 있나??
4
2
9급이 이정도로 어려워야하는 직업이야?
14
3
와 고양이 처음 안아봤는데 진짜 신세계다ㅋㅋㅋㅋㅋ
5
4
급상승
와 어떤 사람 4개월에 평균 93이래ㅋㅋㅋㅋㅋㅋ
3
5
하 공시 작년에 붙어어야하는데 ㅋㅋㅋㅋ
1
6
월급 290-310인데 월세500/40-55정도인곳
13
7
이거 수탉님 사주고 싶다
2
8
여동생이 이모한테 크게 혼났는데 많이 잘못한거 같음?
10
9
행법 공부법 공유 좀....
15
10
정신과약 진짜 효과좋구나
6
11
이번에 공시 행정법 15번에 선지 2번 왜 틀렸는지 설명해줄 행정법 똑순이 있나요
2
12
나 취준생이고 친구 둘은 취직했는데 여행 가자는거 거절해도 ㄱㅊ지…?
8
13
인티익들 왤케 착함
8
14
아 도대체 셤 과목 순서 어케 풀어야 함ㅠㅠㅠㅠ
12
15
엄마가 형부를 너무 좋아하는데... 난 좀 부담스러워..
4
16
이번 행정법 기출 벗어난거 많았어?
2
17
아니 공시익들아 나 어디 물어볼데가없어서 (일행
4
18
기분 드러운 댓글 받자마자
1
19
20대 중후반인데 모은돈 없고 빚만 있는 익들있어?
7
20
석촌호수 아침 7시에 가도
1
방탄 4명 커플프사미띠겠다…
10
2
지디 또 대성이랑 신혼여행 갔네
9
3
와 어제 방탄 뷔 정국 방송 공계 맘찍수 뭐여;;;;;
6
4
제베원을 제로즈로 바꾼거 뭐야
13
5
설리 이 사진 이쁘다
6
와 핑계고 조회수 왤케 잘나옴
3
7
천러 헤메 하기 전 후 차이점
1
8
나 무교이긴 하지만ㅋㅋㅋ 유학생활때 한인교회가서 밥 먹었음…
9
이번 시즌 쇼미 인기 많았어?
4
10
방탄 이 노래 아는 익 나 이 노래 최애곡임
11
뷔 정국 아이셔터시켜놓고 사심챙기는거 봐
4
12
inside my love 노래 개좋은 거 왜 안 알려줬어..
3
13
팬싸컷 영통vs대면 어디가 더 높아?
3
14
인프피들이 미감 좋은 것 같음
4
15
지디 쇄골………
2
16
ㄱ
인간 postype
17
투어스 신유랑 나랑 세대차이 느껴지는게
12
18
콘서트장에서 만나기로한 지인한테 한라봉 선물 에반가..?
4
19
벚꽃축제에 아이돌 부르면
20
해찬 버블 티키타카돼?
5
1
미녀는 괴로워 김아중님 딱 성형 성공하고 공개됐을때 스트리머들 다 감탄하네 ㅋㅋㅋㅋ
3
2
급상승
아이유
명수옹이 아이유한테 20년동안 사과한다는거 이해함ㅋㅋㅋㅋㅋ
24
3
아이유
아이유는 말하기 재능은 타고난거 같은게
10
4
살목지 8일 개봉 아냐??
4
5
변우석
아 억울해가지고 설명하느라 읏쇼읏쇼하는거 개웃기네
12
6
아이유 아빠한테 유전된게 맞는거 같은게
13
7
윤상도 나몰이 녹음할때 아이유가 안쫄아서 신기했대
7
8
변우석 틀려놓고 당당한거 너무 웃겨ㅋㅋㅋㅋ
8
9
대군부인
입술사이 티저 변우석인거 둘이 알고있던거 생각하니까 왤케 웃김
10
10
요즘 아이유 얼굴 뭐지
23
11
왕사남 오늘 1600만 넘을거같아??
3
12
변우석 토크쇼같은거 많이 안해봤나?ㅋㅋㅋㅋ
18
13
아이유
핑계고 어땠어?? 재밌어?
9
14
변우석 되게 서윗하다
10
15
정보/소식
'닥터신' 지영산, 순이엔티와 전속계약…조성하와 한솥밥 [공식]
16
변우석
유캠에서 머선일이 있었길래
9
17
ㄱ
약한영웅
수시 파다가 성시 찍먹 해봤는데
10
18
핑계고 보고 있는데 유느랑 변우석 생각보다 더 가까워보이네
10
19
왕사남 각본집 읽은 소감(강스포)(스포)
3
20
약한영웅
안수호가 준태 귀여워할 거 같지 않니
3
인스티즈앱 설치
소개
이용 문의
광고/제휴
채용
권리 침해
개인정보취급방침
(주)인스티즈 사업자등록번호 : 655-86-00876
통신판매업신고 :
2017-서울강남-03991
대표 : 김준혁
© instiz Corporation