호출 예약
호출 내역
추천 내역
신고
  1주일 보지 않기 
카카오톡 공유
https://instiz.net/pt/7773153주소 복사
   
 
로고
인기글
공지가 닫혀있어요 l 열기
필터링
전체 게시물 알림
정보·기타 이슈·소식 유머·감동 할인·특가 고르기·테스트 팁·추천 뮤직(국내)
이슈 오싹공포
혹시 미국에서 여행 중이신가요?
여행 l 외국어 l 해외거주 l 해외드라마
l조회 19620
미용성형이 아닌데 한때 열풍처럼 유행했던 수술.gif | 인스티즈
미용성형이 아닌데 한때 열풍처럼 유행했던 수술.gif | 인스티즈
미용성형이 아닌데 한때 열풍처럼 유행했던 수술.gif | 인스티즈


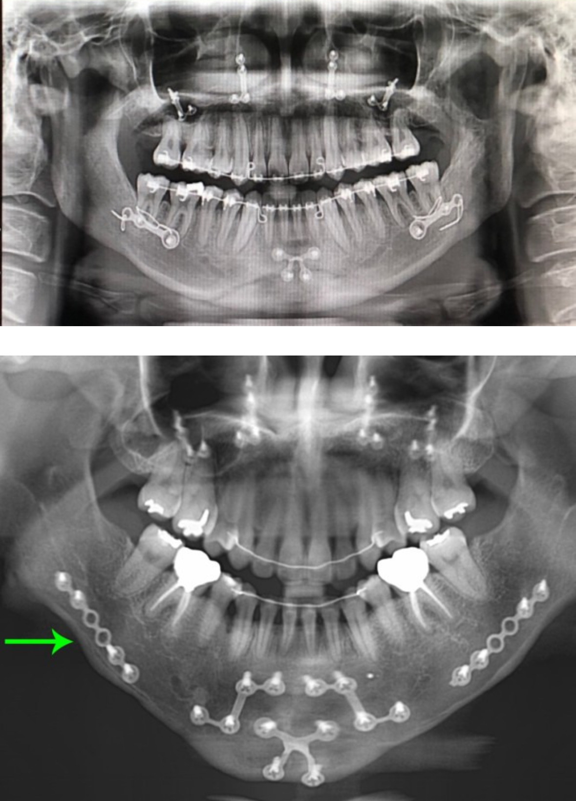
구강악안면 재건술 (악교정술)


흔히 양악수술이라고 부르는데 이건 정식명칭이 아님
많은 사람들이 미용 성형으로 오해하지만
부정교합·턱 변형 교정, 저작 및 발음·호흡 개선 등
치료 목적의 수술임
실제로는 1950년대부터 있었던 아주 오래된 수술이며
치료 목적으로 오랜기간 연구가 진행됨


메인은 구강악안면외과에서 집도하며
치과, 외과와 협업 하는 경우가 대부분임
애초에 성형외과 담당수술이 아니었음


미용성형이 아닌데 한때 열풍처럼 유행했던 수술.gif | 인스티즈
미용성형이 아닌데 한때 열풍처럼 유행했던 수술.gif | 인스티즈



대표 사진
익인1
엑스레이 사진 진짜 뭔가 너무 아파보임
5개월 전
대표 사진
익인2
치료 목적으로 받았는데 너무 만족함... 수술과정이 미용으로는 절대 안할 수준이긴 해
5개월 전
대표 사진
익인3
나도 종합병원 치과에서 받았음. 애초에 주걱턱 심해서. 수술보다 교정이 너무 길고 고통스러웠다
5개월 전
대표 사진
익인4
나도 치료목적으로 하고싶은데 무서워서 비수술방법 찾는중ㅜㅜ
5개월 전
대표 사진
익인5
개인적으로 예전에 렛미인이라는 프로도 한몫 했다고 생각함
5개월 전
로그인 후 댓글을 달아보세요


이런 글은 어떠세요?

전체 HOT댓글없는글
강아지 실종사건(심각한거아님)6
09.26 12:50 l 조회 10946 l 추천 3
너무 신기한 숫자세는 강아지2
09.26 12:23 l 조회 4415
현재 난리난 남친 밥 차려주는 자취녀36
09.26 12:19 l 조회 15156
좀 잔인한 말일 수도 있는데 진짜 집순이 집돌이들은..twt394
09.26 11:26 l 조회 99960 l 추천 1
나 살다살다 왓츠인마이백에서 제육 나오는 거 처음 본다3
09.26 11:24 l 조회 18009 l 추천 1
듣는 사람들마다 은근 갈린다는 우즈-Drowning 속 최애 가사.gif41
09.26 11:01 l 조회 16833 l 추천 5
해외네티즌 "한국드라마는 결말을 내줘서 좋아"23
09.26 10:57 l 조회 15424
청테이프도 테이프아트로 쳐주나요?.𝕏4
09.26 10:35 l 조회 8519
훈련소 짱구빌런.jpg1
09.26 10:22 l 조회 1056
미용성형이 아닌데 한때 열풍처럼 유행했던 수술.gif5
09.26 10:16 l 조회 19620
스레드 웅니들은 헛소리 팰 때 보법이 다르심....x3
09.26 10:16 l 조회 10601
킹받는다는 갤럭시 키즈와 챌린지 찍은 남돌 .jpgif
09.26 10:10 l 조회 116
데뷔조 발표보다 김재중 말실수 할까봐 더 떨려.twt38
09.26 09:38 l 조회 29757
설치기사가 잘못했다 vs 반응 이해된다144
09.26 08:56 l 조회 72546 l 추천 1
시티팝 가수가 말아주는 시작의 아이 .jpg
09.26 08:36 l 조회 684
스키즈 아이엔 인스타 업뎃 (feat. 눈 뜬 아이엔)1
09.26 08:34 l 조회 2736
오늘자 후이 훈육중인 아이바오라는데 한대도 못 때림28
09.26 08:29 l 조회 22857 l 추천 13
트리플에스 김채연 어제 충남대 축제...gif1
09.26 08:17 l 조회 7854 l 추천 1
이제까지의 제가 남들과 같은 모습으로 평범하게 보였기를 바라봅니다1
09.26 08:17 l 조회 1915
선아 사랑해 꽃도 열매도 없이 오래 살자 누구의 꽃도 되지 않으면서 미안하다고 말하지 않아도 되는 곳에서1
09.26 08:16 l 조회 1510


처음이전716717718719720다음
이슈
일상
연예
드영배
13:16