호출 예약
호출 내역
추천 내역
신고
1주일 보지 않기
카카오톡 공유
https://instiz.net/name/56875820
주소 복사
상세 검색
카테고리
기간
시간순
조회순
추천순
댓글순
스크랩순
~
기간 탐색
회원가입
이용 방법·규칙
ID 저장
자동 로그인
HOT
이슈
일상
연예
드영배
장터
픽션
공포
뷰티
스터디
iChart
출석체크
게임
변경
인기글
필터링
전체 게시물 알림
일상
신설 요청
야구
혜택달글
혹시 미국에서 여행 중이신가요?
여행
l
외국어
l
해외거주
l
해외드라마
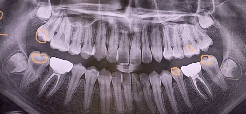
나 사랑니 어떤거같아🦷😬
14
2년 전
l
조회
189
인스티즈앱
이 글은 2년 전 (2023/11/17) 게시물이에요
맨끝에 4개 보이는 게 사랑니인데 어떤 거 같아..? 괜찮아 아니면 아플삘이야?ㅠㅠ
연관글
와 사랑니뽑은거 개아픈데 어떡해?????
22
나 26... 너무 바쁘게 사는 거 같아
18
여기 대학교 연구소 알바 어떤거같아?
나 아빠랑 공동명의로 건물 사기로했어.....
14
익인1
아픈 걸 떠나서 아래 두 개는 앞에 이가 쎀ㅂ을듯
2년 전
글쓴이
오 어쩐지 이미 썩었더라구 이유가 머야?
2년 전
익인2
나랑 똑같아~~
2년 전
익인2
나 같은 경우는! 윗사랑니는 너무 깊고 큰 영향 없어서 안뽑아도 되고 아랫사랑니는 다뽑았씀
개아픔 완전 매복이라서
2년 전
글쓴이
헐 진짜??? 망해ㅛ네 나
2년 전
글쓴이
나이 먹으면서 모양이 예쁘게..? 바뀔 확률은 없나?ㅠㅠ
2년 전
익인2
바뀔가능성은 희박하고 나이 들수록 뼈끼리 유착이 심해져서 더 뽑기 어려워지니까 언눙 뽑는게 좋아 ㅠㅠ
2년 전
글쓴이
저 아래 사랑니는 덜 자란 게 아니라 저게 다 난거야? 어른되면 위로 더 올라오는 이런 거 없구?
2년 전
익인3
아래는 얼른 뽑아 저거 어금니 뿌리 흡수해 안그럼 어금니도 뽑아야함
2년 전
익인3
나는 3개난게 다 매복이라 칼로 째서 뽑아봤는데
옆으로도 눕고 앞으로 눕고 기울어서 나봤지만
모양보다 위에 매복인게 제일 힘들었어
아래는 잘보이니까 대부분 통채로 뽑으시니까 금방 뽑고 붓기도 통증도 덜했어
아래만 먼저 텀 주면서 뽑아
내가볼땐 사진상 말고 쓰니 입장에서 오른쪽 아래가 제일 급해보여
2년 전
글쓴이
저 아래 사랑니는 덜 자란 게 아니라 저게 다 난거야? 어른되면 위로 더 올라오는 이런 거 없구?
2년 전
익인3
의료인은 아니라 정확한건 아니지만
나는 저렇게 생긴게 뿌리가 앞인지뒤인지 누워난거였어 그래서 저런식으로 둥글둥글해보였어
그리고 나이가 난 25살이라 다 자라고도 발치하기 딱 마지노선이었어서 째서 통채로 뽑았고
엑스레이 찍은거면 치과갔을텐데 선생님이 설명 안해주셨어?
정확한건 선생님한테 물어봐야해
근데 옆에 밀고있어서 뽑아야할거같긴하다ㅜ
2년 전
익인4
나 저런 사랑니였는데 의사쌤이 쏙쏙 잘 뽑아주심
4개 다 뺐다ㅎ
2년 전
익인5
위엔 방향 괜찮은데 아래는 이미 겹쳐있네
2년 전
로그인
후 댓글을 달아보세요
이런 글은 어떠세요?
AD
대구 근황.jpg
이슈
요새 유행하는 엽떡에 꿀떡 추가
이슈
AD
정신과 의사도 멘탈 잡기 힘들었다는 사건
이슈 · 1명 보는 중
너무 외롭고 심심한 30대 비혼의 추석
이슈 · 3명 보는 중
다음 황금연휴 ‼️
일상
AD
돈 안되는 닭 사서 2년 키운 후기
이슈 · 3명 보는 중
너넨 진짜 진심 레알로 패딩 허리끈이 이뻐보여?
일상
다이소 2026년 캘린더 신상들
이슈
AD
우울증 걸린 친구가 먹고싶어 하던 것
이슈 · 1명 보는 중
놀토 오열파티된 한 연예인의 어린 시절 사진ㅋㅋㅋㅋㅋㅋㅋㅋㅋㅋ
이슈
AD
차은우 들고 시사회 나타난 BTS 정국 .jpg
이슈
AD
요즘 대기업에서 사용한다는 해고방법
이슈 · 5명 보는 중
AD
진짜 요즘 10대 이렇게 노는거야...???
일상 · 1명 보는 중
김상욱 의원 핸드폰 검사했다는 정청래
이슈
AD
🍵공차 신메뉴 '말차 티라미수 밀크티' 후기
이슈
카페 알바생들이 받은 황당한 주문 모음.jpg
이슈 · 5명 보는 중
전체
HOT
정보/소식
팁/자료
기타
댓글없는글
일상
l
두쫀쿠 10개 먹는 내친구보고 현타오는데 이게 맞나....
221
일상
l
크리스마스 케이크 예약했는데 얼마같아?
251
일상
l
이재명이 내년부터 빨대 사용금지 시행한대
201
혜택달글
l
토스 김말이 36개ㅜㅜ 벗어나고 싶어..
226
이성 사랑방
l
소개남 차 없으면 확 식음?
136
야구
l
프로야구선수와.. 여성 스포츠 에이전트의 로맨스…?
34
한화
l
나는야 산타보리🎅🏻🎄
28
T1
l
헐 란도 어제 연탄봉사 갔었나봐
14
BL웹툰
l
ㄹㅈ 반짝코잉 몇개 샀어
15
BL웹소설
l
3만원 빼야하는데 도와주라‼️
31
동성(女) 사랑
l
짝녀가 양성이면 누구랑 사귀는게 더 싫어?
11
롯데
l
요즘 자티비 뭐야??ㅋㅋㅋ
10
삼성
l
올해 유니폼 판매 순위 나왔다!!!!
10
LG
l
헐 성호주니어!!!!!!! 크리스마스베이비야🥹🥹❤️🖤
8
키움
l
아 큠튜브 멍때리면서 보다가
5
이성 사랑방
썸
낼 썸남 만나는데 11111부츠컷 2222반바지
3:46
l
조회 3
여름에 민소매 잘 입어 너네?
3:46
l
조회 5
이 정도 여자는 다시 만날 수 있을까
3:46
l
조회 3
22살이면 어린거임???
1
3:46
l
조회 7
25살 자영업자인데 오늘 폐업했다
1
3:45
l
조회 13
이시간에 상사한테 연락하는거 에바일까..?
3:45
l
조회 6
스트레스 해소하러 뽑기방 가야하는데 회사 근처에 없어서 강제 돈 아끼기~
3:45
l
조회 4
이성 사랑방
헤어지고 다시 재회했는데 파트너같아그냥
5
3:45
l
조회 11
스초생 첨 먹어보는데 나한텐 맛 없어ㅠㅠ
1
3:45
l
조회 4
나 씨유 두바이찹쌀떡 2개샀다
3:44
l
조회 4
내일이 오면 합불 결과가 나오는게 너무 잔인해서
4
3:44
l
조회 21
자취하는 직장인들 대체 어떻게 집을 사람같이 유지하는 거지
7
3:43
l
조회 27
나 곧 30인데 별생각 없는게 회사일 댕바빠서 그 생각할 겨를없음..
1
3:43
l
조회 7
20대초반 vs 30대후반 다이어트 난이도
2
3:42
l
조회 17
웃긴 글만 모았어요
더보기
남편을 위해 건담튀김 만들어준 유부녀
9
극단적인 엄마
7
하루에 2번 먹다 걸린 동생
7
CJ 대한통운 오네 택배트럭 레이싱 개최
9
흑백요리사2 윤남노 흑팀 편파 심사 의혹.twt
11
ㄴㅇㅇ아놔 나 경상도인인데 하필 내일 서울가야댐
4
3:41
l
조회 35
서울과기대 들어가기 힘들어?
1
3:41
l
조회 23
크리스마스 선물로 합격연락 주세요🙏🏻🎄
4
3:41
l
조회 16
핸드폰 무제한 속도제어인 익들아 혹시 너네 폰이 며칠날부터 속도제어로바뀌는지알수잇어?
1
3:41
l
조회 6
이성 사랑방
이건 내 연애 방식이 잘못되었던걸까???
2
3:40
l
조회 17
아빠카드 쓰는 친구 개짜증난다 진짜
6
3:40
l
조회 83
더보기
1
2
3
4
5
6
7
8
9
10
다음
일상
이슈
연예
드영배
3:46
1
수급자 친구 자꾸 여행가자는거 현타온다
19
2
이런 오프숄더 스타일 걍 스테디지..? 혹시 촌스러워??
9
3
화장실 창문 닫는거 까먹지마라....
3
4
지금 울면서 밥 먹었어 서럽다
14
5
아빠카드 쓰는 친구 개짜증난다 진짜
6
6
아이돌 계속 빠는 사람들 신기해
42
7
요즘 친구 만나면 결혼 얘기만 하는 거 지겹다 ㅋㅋㅋ
8
8
아 겁나 귀여워 미치겟어 어떡해?
13
9
내일이 오면 합불 결과가 나오는게 너무 잔인해서
1
10
ㄴㅇㅇ아놔 나 경상도인인데 하필 내일 서울가야댐
2
11
머리 안감으면 냄새가 공간에 퍼지도록 날 수 있어..?
5
12
자취하는 직장인들 대체 어떻게 집을 사람같이 유지하는 거지
2
13
실시간 건전지 터짐
12
14
체형 글래머에 피부하얗고 눈 그윽하단말 많이 들어봤는데
7
15
여기서 대화하다보면 아 만나보고 싶다
17
16
일어나면 엽기닭볶음탕 시켜야지
4
17
20대초반 vs 30대후반 다이어트 난이도
2
18
나 곧 30인데 별생각 없는게 회사일 댕바빠서 그 생각할 겨를없음..
1
19
남자들은 여자가 딴남자랑 자는 거에 대해 엄청
26
20
열 39.2-3도 정도 반나절 이상 지속 되고 응급실 갔다옴
7
1
윈터 열애설 여파 체감
15
2
흑백요리사2 윤남노 흑팀 편파 심사 의혹.twt
11
3
베트남 여행에서 1인당 하루에 100만원 쓸 생각한 황정민
2
4
절친 결혼식 불참 뒤 절연 당함
49
5
계란을 9만5천원에 파는 손종원
6
토익 시험 감독관의 고충
5
7
트위터 반응 터진 베이비몬스터 아사 마이크 돌려잡기 퍼포먼스
13
8
흑백 요리사 2 아쉬운 점
9
사진빨 안 받는 사람 특징
21
10
회사에 입냄새 나는 여직원 있는데
63
11
어머님 세대에 유행했다는 캐릭터 모음
48
12
흑백 요리사 이번 회차??????싶었던 백종원 맛 평가
63
13
술자리 싫어하는 사람들 특징
1
14
정부에서 도입 추진 준비중이라는 구독형 영화 패스.jpg
76
15
장례지도사 하면 생긴다는 트라우마
3
16
우리 밭에 도둑이 들어왔어요
17
너무 예민해서 항상 스트레스를 받으며 사는 유형
107
18
현재 댓글창 살벌한 안성재 두쫀쿠 사태..JPG (유머)
95
1
인기글 진짜 저런아이돌 많음?
16
2
가요대전 라인업 SM JYP HYBE 셋으로 과반이었네
6
3
내 최애는 라이브는 잘하는데 노래를 못함
36
4
가요대전 라이브 잘한 무대 추천 좀
9
5
프로미스나인은 진짜 어느순간부터 인기 많아진거 같아
8
6
오늘보니까 아이돌들 쳐맞았던거에 비해 라이브 잘하더라
5
7
얼굴에 열이 많으면 여드름이 나나???
8
오늘 가요대전 못 봤는데 다 강제 라이브였어??
3
9
ㄱ
다들 본진 ㄹㅈㄷ 포타 하나씩만 쓰고가줘
11
10
환연 유식 현지 외모는 내취향 아닌데
12
11
전에 들은 얘긴데 진짜 마음 좋아지는 얘기임
12
최근에 트위터 계정 파본 사람
4
13
최애가 힘든거 훌훌 털고 잘 극복한 것 같아서 나까지 후련해졌다
14
내가 팠던 돌 한정 멤버들에 팬덤까지 슬럼프 오는 시기가 항상 있는 것 같음
15
가요대전 기억나는 무대:베몬, 트레저, 즈즈즈, 엔드림
4
16
ㄱ
요페스 하는 익들도 글 자주 올려주면 조켓다..
10
17
엔드림 졸라 잘하네 진짜
3
1
와 구교환 키스신 처음봐
12
2
이엘리야, 배우 맞아?…"이직 적극 추천, 나온 이유 있었네" 합격 ('미스트롯4') [종합]
8
3
스띵) 아 빨리 자야되는데
1
4
넷플 곧 내년 라인업 발표 하나봐!!
3
5
귀하게 자란 나는 공주들만 봐야해 🤤🎄♥️
7
6
키괜 솔직히 좋아했던만큼 아쉽다…
9
7
키스는괜히해서) 누가 결말 스포해줘
16
인스티즈앱 설치
소개
이용 문의
광고/제휴
채용
권리 침해
개인정보취급방침
(주)인스티즈 사업자등록번호 : 655-86-00876
통신판매업신고 :
2017-서울강남-03991
대표 : 김준혁
© instiz Corporation