호출 예약
호출 내역
추천 내역
신고
1주일 보지 않기
카카오톡 공유
https://instiz.net/name/65286699
주소 복사
상세 검색
카테고리
기간
시간순
조회순
추천순
댓글순
스크랩순
~
기간 탐색
회원가입
이용 방법·규칙
ID 저장
자동 로그인
HOT
이슈
일상
연예
드영배
장터
픽션
공포
뷰티
스터디
iChart
출석체크
게임
변경
인기글
오랜 기간 불편했던 잦은 서버 장애를 끝낼
중요한 결단에 대해 안내 말씀 드립니다
l
공지가 닫혀있어요
l
열기
필터링
전체 게시물 알림
일상
신설 요청
세무사사무실
혹시 미국에서 여행 중이신가요?
여행
l
외국어
l
해외거주
l
해외드라마
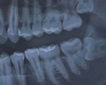
치과에서 일하는 익들 질문..!
10
1시간 전
l
조회
135
인스티즈앱
이거 지금 치아 엑스레이 사진인데
위아래 뒤에서 두번째 어금니 둘다
하얀 부분이 예전에 충치치료 했던곳인가?
익인1
사랑니많다
1시간 전
글쓴이
으악 ㅠㅠ 반대쪽도 똑같이 있음..
1시간 전
익인2
ㅇㅇ충치치료했던부분같음
1시간 전
글쓴이
오키 고마워
1시간 전
익인3
웅 충치치료한 거
근데 사랑니 뽑아야겠다
1시간 전
글쓴이
무서워요..
1시간 전
익인3
그렇지만 n7번 치아에 문제 생겨서 임플란트 하는 것보다 나을지 몰랑
2030대 환자분들 임플란트 하는 이유가 사랑니때문인 거 꽤 많앙
1시간 전
글쓴이
알갔어.. 걱정해줘서 고마워
빨리 한번 생각해볽게..
1시간 전
익인4
22 아래 저거는 아예 누웠넹 얼렁 빼는게 좋아ㅠ
1시간 전
익인5
사랑니 빨리 뽑으십셔… 누운애는 빨리 처리할수록 뒤탈이 적다ㅠㅠ
1시간 전
로그인
후 댓글을 달아보세요
이런 글은 어떠세요?
AD
살아 보니 진짜 맞는 말이었던 것들
이슈 · 19명 보는 중
애한테 사탕 무슨 맛으로 줄까? 했더니 애엄마 반응.jpg
이슈 · 5명 보는 중
어릴 때 팔던 문방구 닭강정의 대반전 ㄷㄷ.jpg
이슈 · 2명 보는 중
AD
나 패딩 어때? 이상해?
일상 · 3명 보는 중
AD
수녀 에스파 카리나 실물 사진
이슈 · 6명 보는 중
이중에 레즈들한테 가장 수요있을 스타일 뭐임?
일상 · 10명 보는 중
AD
결혼식 하객들, 도파민 폭발한 순간!
이슈 · 1명 보는 중
내 팔 사진좀 봐줄래??
일상 · 1명 보는 중
흑화한 차은우 티저떴다...jpgif
이슈 · 3명 보는 중
구청에 붕어빵 노점 신고해버렸다는 사람...jpg
이슈 · 3명 보는 중
AD
게임 유튜버 수탉 납치 경위
이슈
AD
[단독] 에이프릴 윤채경♥이용대, 열애 중…이혼 7년 만
이슈 · 4명 보는 중
AD
핫도그 택배 미친거 아님
이슈 · 2명 보는 중
미국인들이 금관에 유독 발작하는 이유에 은근 납득가는 얘기
이슈 · 2명 보는 중
AD
결혼하면 외로움이 없어질거라 생각했던 유부남
이슈
요즘 산책 나온 강아지들 특징
이슈 · 1명 보는 중
전체
HOT
정보/소식
팁/자료
기타
댓글없는글
일상
l
99년생이면 아직 애기냄새 날 나이지?
263
일상
l
와 요즘애들 사람 npc취급 한다는거 ㄹㅇ 내 친구가 화장 잘해서 눈화장 메이크업 아티스트 같이 하는데
114
일상
l
딸기시루 생각보다 별로다 엄청 힘들게 사왔는데
81
이성 사랑방
l
근데 20후반 애들도 외모 많이볼까?
58
야구
l
파니들이 감독이라면 누구 쓸래?
33
T1
l
🍀 12/27(토) 레드불 PC방 테이크 오버 달글 🍀
1060
삼성
l
미노미노 인스스
17
혜택달글
l
당근 방어 하자!!!
13
만화/애니
l
드림
댓망) 요즘도 수요가 있을까요
11
한화
l
투타 막내 멩우주 사진으로만 봐도 웃기다
9
BL웹소설
l
병약수나 공 앞에서 다치는 수 나오는거 있어??
8
메이플스토리
l
코디 관련 BM, 편의성도 한번 불태워야됨
5
BL웹툰
l
반칙) 내 취향기준 리디 명작 세개 추천
12
촉
l
나 내년에 연애할수있어?
6
동성(女) 사랑
l
40대
5
억울해 미쳐버릴거 같은 일 어떻게 떨쳐버리지
15:35
l
조회 1
교정기 유지장치 철사끝부분이 자꾸 혀를 찌르는데 이거 치과 가야하는거지..?
15:35
l
조회 1
돈은 누가 됐든 절대 빌려주면 안 된다
15:35
l
조회 1
아 대병 초진 늦을거같은데 망했너
15:34
l
조회 1
Pt하면 식단도 다 짜줘?? 같이??
15:34
l
조회 1
장경련 자주 오는 사람들 ㅠㅠ
15:34
l
조회 2
애니 천국대마경 본사람?
15:33
l
조회 4
피부 오돌토돌
1
15:33
l
조회 10
취준생들 서류 10개 이상 떨어지는건 당연한거지?😭
1
15:33
l
조회 6
이성 사랑방
애인이 사친 2명이랑 같이
15:33
l
조회 6
이 사회는 기세고 성격 센 사람들이 살기 제일 좋은 사회인듯
1
15:33
l
조회 6
나이 많은 고졸 알바도 포기함
15:33
l
조회 6
하 오일 파스타에 토마토 넣었더니 짱 맛있네
15:33
l
조회 4
얘들아 잘생긴 남자가 스킨십하자고하면
2
15:33
l
조회 9
HOT
더보기
연예 대상 말고 이 상 받아버린 어제자 개그맨들.jpg
13
🚨어도어, 전 뉴진스 맴버 다니엘에 "오늘(29일) 소장 접수"🚨
84
나홀로집에1,2는 진짜 이러다 죽을때까지 볼듯ㅋㅋㅋㅋㅋㅋㅋㅋ
13
어도어, 뉴진스 '다니엘'과 계약 해지 "母에 법적책임 물을 것”
31
적성에 맞는 직업 확인 방법
27
내일 모레 26살 되는데
15:33
l
조회 4
피부장벽 무너짐..
5
15:32
l
조회 11
자존감 높은 사람 특징 뭔거같아?
2
15:32
l
조회 12
와 당연히 서류합 할거라고 생각한 곳 떨어짐...충격이다
15:32
l
조회 10
오늘 고데기 너무 잘 돼서 자꾸 만지게 됨
15:32
l
조회 5
방이 석촌 잠실 건대 여기 근방으로 네일샵 ㄱㅊ은곳 추천조뮤ㅠㅠㅠ
15:31
l
조회 4
더보기
1
2
3
4
5
6
7
8
9
10
다음
일상
이슈
연예
드영배
15:34
1
내년부터 월급 줄어드는거 맞지,,,,,,,,,,,,,,,,,,,
6
2
나 90kg 치고는 얼굴에 살 덜 있는거 같지않니
49
3
34살... 백수... 부모님 종일 집에 계심... 이 생활 3년째... 아니 4년...
14
4
지방 출신들은 상경 할 생각 하지마라
30
5
노화가 오고 있구나.. 느끼게 되는 점은
5
6
와 이번주 주토피아2 포스터 문화의 날 피해가네..
3
7
확실히 서울이랑 지방이랑 꾸미는 차이가 커??
15
8
난 솔직히 예쁜데 결혼 못한 친구 보면서 위안받음
9
9
엄마와 딸 관계도 진짜 어려운 것 같아
3
10
림들도 생리전에 좀 짜증나????
8
11
자존감 높은 사람 특징 뭔거같아?
12
나 핸드폰 바꾸는 주기
1
13
와 당연히 서류합 할거라고 생각한 곳 떨어짐...충격이다
14
책은 읽고 싶은데 지루할 거 같은 익들에게 입문 여기 추천함📚📚
15
컴잘알들아 도와줘….ㅠㅠ 나 원룸 이사했는데
7
16
피부장벽 무너짐..
2
17
내 남친 피부 개드러움
7
18
난 오히려 지방이 사는 게 더 편하더라..
2
19
마운자로 부작용이라는거 다 정반대로 나타나서 당황스러움ㅋㅋ이런사람 있니
20
어색한거 못참아서 tmi 쏟아내는거 어떻게 고쳐ㅜㅜㅋㅋㅋㅋㅋ
2
1
중식마녀 닉 이유를 듣고 당황한 안성재
3
2
과외 선생 살크업
3
중고거래 중 신용도 급상승하는 순간.twt
2
4
연예 대상 말고 이 상 받아버린 어제자 개그맨들.jpg
13
5
흑백요리사1 뒷 이야기.jpg
6
미야오 팬들한테 반응 좋은 요즘 미야오 헤메코 폼.jpg
7
7
인싸와 아싸 차이.jpg
1
8
장수풍뎅이가 날아서 도망가면
2
9
'키스는 괜히 해서!' 김무준 "애 아빠 이미지 위해 가발 썼죠"
1
10
국가전복혐의로 북한에 억류되어 식물 인간이 된 미국 대학생
2
11
2025 가요대축제 이채영 검스 .gif
1
12
올해의 소탐대실상 후보
13
똥 싸고 1년에 1억 버는 사람 (최대 2억 6천까지 가능)
9
14
NCT DREAM 재민 인스타그램 업데이트
15
의사쌤한테 절해야지
16
진짜 박명수 정준하는 신이 이어준 방송 최고의 커플임
1
1
에스파 쌈밥 시켜봄
12
2
에스파의 거대한 쌈밥바이럴
10
3
모디세이 찐으로 JYP가 위탁인가보네
21
4
ㄷㄴㅇ 종교랑 묶어서 카더라 짜려는건가?
14
5
다니엘 계약해지 되는거 미리 통보받았겠지?
6
6
뉴진스 얼마나 쉰거야그럼
7
7
국수듀오는 그렇게 어도어 욕을 하더니 ㅋㅋ
6
8
쌈밥 검색하는데 식당 이름 쌈마이웨잌ㅋㅋㅋㅋ
9
정보/소식
하이브가 2024년 8월 1일 지분 51%를 인수한 태그 PR의 실체가..
1
10
모디세이 가 무슨 뜻이야?
1
11
스엠도 모니터링 하면서 어리둥절하겠다
12
버스에 뭐 두고 내렸다는 사람이랑 같이 버스 탔는데
1
13
오늘도 얘기합니다
1
14
와 캣츠아이 메간 왜 익숙한가 했는데 나 초딩때 친구랑
4
15
ㅋㅋ 외신 나가서 한국 욕 케이팝 욕 해놓고
6
16
어떻게 2007년생이 한유주
2
17
힙합보단 사랑 돈 챌린지 어디서 시작된거야..?
3
18
아 우리동네엔 자동쌈밥집 없다고ㅠ
1
19
다니엘이 내가 본 연예인 중에 제일 얼굴 작았음
5
20
09년생 얼굴이 미쳣슨
2
1
정보/소식
[기사] 이수혁, 반려동물 안 키우는 진짜 이유…"심한 알레르기, 진정성 왜곡 걱정..
3
2
배우? 한보배 2026년 3월 결혼한대
4
3
정보/소식
이진이, 바로엔터테인먼트와 결별 "서로 앞날 응원"[공식]
4
4
Jyp가 배우사업했을때
1
5
내년 백상 여배들 역대급 꽉찬집이다
3
6
난 정용화가 연기자로 더 나아갈줄 알았는데 의외로 가수 비중이 더 커서 놀람
8
7
내 예상 백상 여배 후보
3
8
정지소
정지소 엘리야 고화질 왤케 이쁨
8
9
신시아 추영우 작품 좀 추천해주라 과몰입 벗어나고싶어
22
10
화영 연기 잘 하고 좋은데 앞으로 자주 봤으면 좋겠다
1
11
진영 에이판 온다고 하던데 미지의 서울 진영임?
1
12
정보/소식
본격 새출발 서예지, 4년 만에 첫 연기·첫 무대
4
13
정보/소식
[단독] 윤종훈, KBS '기쁜 우리 좋은 날' 주연 발탁… 안방 컴백
14
정보/소식
[단독] 문채원, 신동엽과 '짠한형'서 한잔…'♥맨' 권상우·피오 동반출격
15
풍향고2 ena에서도 방영해주네
8
16
기사피셜 올해 디플에서 잘된드라마 파인-나인퍼즐-조각도시
12
17
새삼스럽지만 아이유는 진짜 대단한 것 같아
14
18
아직 에이판 참석자 누구누군지 모르지?
4
19
박보검 오메가 영상 설명글 이거 완전 밤여행자 아니냐ㅋㅋ
1
20
이사통 티저 천만뷰 넘엇네
7
인스티즈앱 설치
소개
이용 문의
광고/제휴
채용
권리 침해
개인정보취급방침
(주)인스티즈 사업자등록번호 : 655-86-00876
통신판매업신고 :
2017-서울강남-03991
대표 : 김준혁
© instiz Corporation