호출 예약
호출 내역
추천 내역
신고
1주일 보지 않기
카카오톡 공유
https://instiz.net/pt/3577062
주소 복사
상세 검색
카테고리
기간
시간순
조회순
추천순
댓글순
스크랩순
~
기간 탐색
회원가입
이용 방법·규칙
ID 저장
자동 로그인
HOT
이슈
일상
연예
드영배
장터
픽션
공포
뷰티
스터디
iChart
출석체크
게임
변경
인기글
글 5개 올리고 댓글 10개만 받으면
네이버페이 5천원을 드려요 (~2/28)
l
공지가 닫혀있어요
l
열기
필터링
전체 게시물 알림
이슈
유머·감동
이슈·소식
유머·감동
정보·기타
팁·추천
할인·특가
뮤직(국내)
고르기·테스트
이슈
오싹공포
혹시 미국에서 여행 중이신가요?
여행
l
외국어
l
해외거주
l
해외드라마
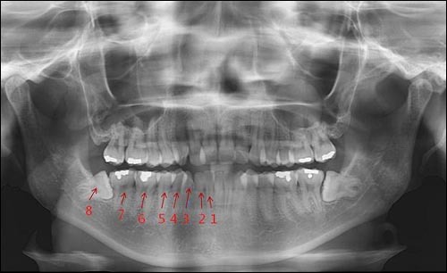
치과치료 고통 사랑니 발치 vs 신경치료
11
10년 전
l
조회
3230
출처
인스티즈앱
이 글은 10년 전 (2016/2/08) 게시물이에요
마리오
빠바빠바바밤
신경치료 할 때는 안아팠는데 짤 보니까 멀쩡하던 이가 아파지는 느낌..ㅠㅠ
10년 전
철저성침
노력하면 성공한다
22..ㅠㅠ
10년 전
기회의 파도
111..
10년 전
지금 우린
항상곁에있기에누구보다소중한너
치아 아픈게 세상에서 제일 싫어ㅠㅠㅠㅠ
10년 전
박멍청
코딱지 마시쪄
아..양치 열씨미 해야겠네여....신경치료 움짤이 너무나 현실적인....
10년 전
농노(20년차,수만마을)
슴은역시대물림
2222222222222222 돌출신경이라서 신경4개 어쩔수없이 죽였는데 진짜 너무 아팠어여ㅠㅠㅠㅠㅠㅠㅠㅠㅜㅜ
10년 전
캡틴아메리카
사랑니...내인생 최대의 고통...마취풀리고난뒤에는ㅠㅠㅠㅠㅠㅠㅠㅠㅠ피도계속나서 피맛나고ㅠㅠㅠㅠㅠ
10년 전
으어 현기증 난다
둘다 해봤지만 수평매복니가 훨씬 아픕니다ㅎㅎ
10년 전
@actorofheaven
무림학교를 잡아야 산다
앗 저는 원심경사 매복인가... 아무튼 반매복이라고 그냥 빼자고 하셔서 뺐는데 생각보다 많이 안 아팠던... 잇몸 째긴 했는데 사랑니 뽑힌 거 보니 안 부셔지고 그 모양 고대로 나왔어요 ㅎㅎㅎ... 아픈 것보다 술이랑 탄산 못 마시고 자극적인 거 못 먹는 게 제일 고통이었던 ㅠㅠ 신경치료는 안 해봐서 모르는...! 충치 잘 안 생기는 치아인 건 고맙습니다 ㅠㅠ
10년 전
귀여운아이
잉피랑 삼둥이
신경치료 교정, 치아발치 다해봤는데 아직까지 사랑니는 안뽑아봐서 얼마나아픈지 모르겠지만
신경치료 하기전에 이아파서 얼마나 울었는지 ㅋㅋ
아으...
10년 전
10창삽
비투비 음색깡패
임플란트 교정 신경치료 사랑니.. 온갖 치료를 다 했는데 아픈건 매복사랑니가 짱입니다
10년 전
로그인
후 댓글을 달아보세요
이런 글은 어떠세요?
AD
너구리 라면 충격적인 결과
이슈 · 2명 보는 중
현재 증언 쏟아지는 넷플 한글 자막..JPG
이슈 · 1명 보는 중
AD
인간 올영과 사는 스레드인
이슈 · 6명 보는 중
부부관계 주 4회 요구하는 수영 선출 아내.jpg
이슈 · 8명 보는 중
아파트 사는 사람들 중 은근히 복받은 경우
이슈 · 7명 보는 중
모르는 개 쓰다듬어주는데 뭔가 이상함.gif
이슈 · 2명 보는 중
AD
아니 에이블리 미쳤나
일상 · 1명 보는 중
다이소우산 위엄
이슈 · 4명 보는 중
AD
가족들이 아기탄생 축하중인데..매우 곤란하다는 블라인드
이슈 · 6명 보는 중
개금수저가 타는 차
이슈 · 1명 보는 중
AD
허리쪼임패딩이 예뻐보여??
일상
AD
자식이 엄마한테 가방 사줬는데 서로 빈정상함
이슈 · 6명 보는 중
돈까스 잘하는집과 못하는집 특징
이슈 · 5명 보는 중
AD
복원된 단종과 세조의 얼굴
이슈 · 2명 보는 중
서프라이즈 종영 소식 접한 정형돈..JPG
이슈 · 1명 보는 중
AD
현재 충격적이라는 남윤수 돈버는 속도.JPG
이슈 · 2명 보는 중
전체
HOT
댓글없는글
이슈·소식
l
"한국 너무 싫어, 삼성·올리브영 사지 말자”…동남아 형제들 연대 불매 나선 이유가
313
무당들이 갖다버리라고 경고하는 아코디언
119
이슈·소식
l
현재 스벅 38초 논란이 터트린 불친절 사태..JPG
155
이슈·소식
l
현재 디올이 사활걸고 밀고있는 신상백..JPG
108
인터넷에서 논란되고 있는 육아 중인 며느리 카톡.jpg
120
엄마가 내 연애를 질투하는거같아.pann
106
정보·기타
l
의사피셜 트러블 흉터개선에 토닝보다 효과좋다는 것.jpg
452
이슈·소식
l
현재 댓글창 개험한 8살 차이 소개팅..JPG
93
이슈·소식
l
(충격주의) 제주도에서 살해당할뻔한 프듀2 참가자..JPG
127
이슈·소식
l
현재 이마트24에서 출시한 프리미엄 도시락..JPG
75
이슈·소식
l
20년째 밤티 미감이 한결같은 화장품 회사...JPG
178
이슈·소식
l
현재 활동중단한 캣츠아이 마농이 좋아요 누른 글..JPG
87
이슈·소식
l
현재 한국인만 이해못하는 K-베이커리 유행..JPG
87
이슈·소식
l
순직 경찰관에 '칼빵' 발언한 전현무…경찰 "공식 사과 촉구"
69
이슈·소식
l
[단독] 남창희 아내 정체…'한강 아이유'였다
67
런던베이글뮤지엄 법인 '엘비엠' 더현대 서울에 아티스트 베이커리를 오픈
1
02.23 23:56
l
조회 2192
기괴하다는 최근 한국에서 열린 av배우 옷 경매.jpg
12
02.23 23:22
l
조회 17380
일본 측에서 기록해놓은 삼국시대 당시 우리나라 고대 발음들.txt
5
02.23 21:17
l
조회 9516
l
추천 1
5시간 혼자 운전하고 짐까지 다 들었는데 이혼하자네요
23
02.23 21:15
l
조회 29081
17년만에 이혼한 전 아내의 연락이 왔습니다
02.23 20:48
l
조회 5717
친구는 끼리끼리
7
02.23 20:23
l
조회 5261
샤워하면서 소변 당연히 보는거 아니었나?
9
02.23 19:57
l
조회 6330
자전거 당근거래 대참사 🥕.jpg
6
02.23 19:49
l
조회 15108
마운자로 갤러리에서 두쫀쿠 얘기가 넘치는 이유.jpg
21
02.23 19:35
l
조회 40696
l
추천 3
"통 모짜 핫 도그”의 반대말은?
6
02.23 18:51
l
조회 10846
l
추천 2
현재까지도 미스테리인 이병헌 키 논란...jpg
27
02.23 17:26
l
조회 19073
일본인과 한국인의 텐트 차이.jpg
21
02.23 16:10
l
조회 29168
l
추천 1
2025년 전세계에서 가장 많이 팔린 명품 시계 브랜드 TOP8
2
02.23 15:48
l
조회 4079
누가봐도 유해진인 유해진 어린시절 사진.jpg
8
02.23 14:44
l
조회 16441
ㄱ
즁빈
추가하기
더보기
이게 커플이 아니면 뭔데...
똑똑 즁빈러들아
6
즁빈 너무 코여워
1
ㄱ
아침부터 솜코님 그림보니까
1
우린 장수말벌임
2
다들... 잘 살아있지?
5
반려견 키우는 사람들은 공감할 현실 목욕편.jpg
1
02.23 13:19
l
조회 12485
l
추천 2
세종을 부활(?)시키려 했던 문종
16
02.23 12:54
l
조회 23824
경북 산불 현장에서 구조됐던 얼굴 왕큰이 고양이
8
02.23 11:28
l
조회 18341
l
추천 6
신박한 불륜 메신저
19
02.23 11:21
l
조회 35302
어떤 냥이 도넛 먹었는지 절대 모르겠는 사진.jpg
5
02.23 11:13
l
조회 12651
l
추천 2
게임하다가 직원으로 뽑았다는 김준수.JPG
30
02.23 11:09
l
조회 28626
l
추천 3
더보기
1
2
3
4
5
6
7
8
9
10
다음
이슈
일상
연예
드영배
0:12
1
나만 인생이 뒤쳐졌나 생각이 들 때 개꿀팁
10
2
기괴하다는 최근 한국에서 열린 av배우 옷 경매.jpg
11
3
단종이 겪은 일을 현대에 비유해 보았다
21
4
윤남노가 말하는 세상에서 없어져야 할 음식..JPG
40
5
아이돌 10년 시행착오끝에 맥반석 피부된 NCT 해찬이 공유한 꿀팁
8
6
로고 통합 한다했을때 말이 많았지만 결국 편리해진거.jpg
2
7
걸스나잇 랜덤배달깡의 최후
6
8
런던베이글뮤지엄 법인 '엘비엠' 더현대 서울에 아티스트 베이커리를 오픈
1
9
풍향고 : 어플 못쓰는데 리뷰광공 만난 썰 푼다ㅋㅋㅋㅋㅋ
9
10
이명박 레전드 돌솥밥
11
탐정인 싸이코패스 무물 봤는데 혐의자들 심문하면서 농락하는걸 즐기고 감정노동이 없으니까 사건들도 다 걍 퍼즐..
12
블랙핑크 BLACKPINK - 'GO' M/V TEASER
1
얼굴 작음데 진심 사각턱 이 정도면
20
2
익들아!!!! 샌드위치 지금 배달시키는건 좀 그런가....? 시킨다면 에그포테토vs단호박
9
3
문란한 과거도 결별,이혼 사유가 되나
1
4
동생년 25살인데 너무 싸가지 없어
4
5
이런 ai는 너무 귀엽지않냐...
1
6
와 나 이제 라면 한개도 다 못먹는다…………,…,,,…
12
7
카페 일하면서 제일 당황스러웠던 신입
4
8
급상승
기독교인 사람 중에 민주당 지지하는 사람도 있어?
3
9
내 동생 학교 지난 2년간 대입 현황인데40
4
10
아까 시중은행 퇴사한 사람 내용 뭐였어??
11
알바 구해서 2번 나갔는데
12
인생이나 성공에 욕심 없는 사람들 진짜 부러움
6
13
요즘 집에서 런닝머신이랑 실내 바이크 번갈아가면서 1시간 정도 타는데
2
14
나 1금융권 시중은행 퇴사했는데..
1
15
며느리 50년간 구박해서 실어증까지 걸리게 할정도면 나쁜 시어머니같음?
6
16
왜 조각경력 안 좋게 봐?
3
17
여태ㅜ돈쫀쿠는 던킨에서만 먹었은디 이상했거든??
18
너네같으면 편입 할래?
4
19
원래 직장에선 표정으로도 까여?
5
20
취준생들아 다들 몇년생이니...
1
1
블핑 뮤비 티저 떴다…….. 미쳤어
24
2
정보/소식
AKMU 악뮤 4집
17
3
단종 오빠는 후손 없어???
40
4
ㄹㅇ 음기녀처럼 생겼다
4
5
성찬이 버블 배사 바꿨다앙
5
6
블핑 이번에 홍보 프로모 너무 없어서 걱정했는데
8
7
왕사남 오늘 거의 20만명이나 봄
5
8
와 블핑 10분도 안돼서 좋아요 만개 넘었넼ㅋㅋㅋㅋ
1
9
로제가 요가자세를 말아줌
1
10
우리도 잠실돔 생길거라길래 완공 날짜 검색해봤더니
6
11
악뮤 4집 온다!!!!!!!!
2
12
이 스탠리 어떤 거 같아?
10
13
난 하투하 지우가 진짜 가장 개념 있는거 같아
14
너 다리 밑에서 주워왔다 <<<< 이것도 수양놈때문에 생긴..
8
15
원빈이 "꿈을 이루게 해줘서 고마워”
4
16
수양 파도파도 욕먹을짓만 나오는게 ㄹㅈㄷ
1
17
블핑 이번 뮤비 개쩐다고 해서 기대 엄청 했는데
18
내 친구 마운자로 한다는데 신기하다
19
와 슈화 상체 여리여리한거봐 진짜 개이쁨
2
20
그럼 단종 복위운동에 단종도 참여한게 맞아?
2
1
근데 왕사남 왤케 대중성 커보이지...?
5
2
유재석 감 진짜 무섭다....
23
3
왕사남 1롤 박지훈임??
5
4
왕사남이 약간 파묘급으로 잘되고 있는거야?
5
5
김태리 예능 김태리 무섭다...
25
6
'우리는 매일매일' 김새론 이채민 시사회 간단 후기
4
7
평일에 19만 나온거면
1
8
ai 예측보다 더 잘나왔다
2
9
이동진 평론가 진짜 소름돋는 예언
12
10
볼수록 박지훈 무인 팬섭이 ㄹㅈㄷ임 배우들 분위기 바뀌었으면
18
11
진지하게 휴민트 배우나 감독한테 원한 있나싶음...
3
12
와 왕사남 벌써 600만 미쳤닼ㅋㅋㅋㅋ
13
휴민트 오늘 처음이자 마지막 gv 했는데 배우 중 한명 울었음
19
14
왕사남 19만5천
6
15
왕사남 이게 내 유작이구나> 이게 ㄹㅇ 킬포같음ㅋㅋㅋ
17
16
김은희는 기분 어떨까
17
왕사남 스피드쿠폰은 또 안하나
18
박지훈 몇살이야?
3
19
세이렌 김정현 연기 엄청 잘했나보네
20
박지훈 얼굴 참 좋은 점들 중 하나가
1
인스티즈앱 설치
소개
이용 문의
광고/제휴
채용
권리 침해
개인정보취급방침
(주)인스티즈 사업자등록번호 : 655-86-00876
통신판매업신고 :
2017-서울강남-03991
대표 : 김준혁
© instiz Corporation