호출 예약
호출 내역
추천 내역
신고
1주일 보지 않기
카카오톡 공유
https://instiz.net/pt/3736420
주소 복사
상세 검색
카테고리
기간
시간순
조회순
추천순
댓글순
스크랩순
~
기간 탐색
회원가입
이용 방법·규칙
ID 저장
자동 로그인
HOT
이슈
일상
연예
드영배
장터
픽션
공포
뷰티
스터디
iChart
출석체크
게임
변경
인기글
필터링
전체 게시물 알림
이슈
유머·감동
정보·기타
이슈·소식
유머·감동
고르기·테스트
팁·추천
할인·특가
뮤직(국내)
이슈
오싹공포
혹시 미국에서 여행 중이신가요?
여행
l
외국어
l
해외거주
l
해외드라마
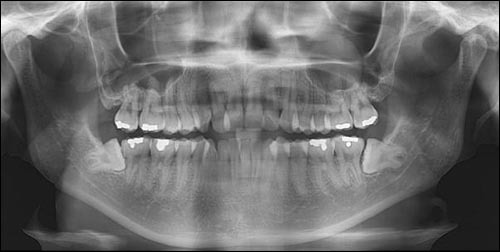
사랑니 발치 해보신 분들? (feat. dentist) (혐오주의)
6
10년 전
l
조회
1986
출처
인스티즈앱
이 글은 10년 전 (2016/4/20) 게시물이에요
본인은 윗쪽 2개, 아랫쪽 2개 다 뽑았는데
위쪽은 예쁘게 직선으로 자라서 하나도 안아팠는데
아래쪽 두개는 수평방향으로 자라서 빼고 나서 마취풀린 후 고통을 맛봄...
연관글
사랑해ㅐㅐㅐㅐㅐㅐㅐ!
3
역대급 똥.jpg (혐오주의)
23
자고 일어났더니 사라진 발가락 (혐오주의..
18
미뉸기
민윤기 내 남자
아우 보기만해도 아파ㅠㅠㅠㅠㅠㅠㅠㅠㅠㅠㅠㅠ 내사랑니야 이쁘게 나줘서 고마워ㅠㅠㅠㅠ
10년 전
에이스쿱스
에스쿱스야 택운아
왼쪽 아래 매복이라서 잇몸 째고 난리했는데 진짜 마취풀리고 너무 아파서 두 끼를 굶었어요...
10년 전
김종인 오세훈
끝까지 함께가요.
저 안에 묻힌 주황색..? 부분도 사랑니인 건가요..? (충격)
10년 전
영원토록씨야위듀
치근이에요
10년 전
넌 내 하나뿐인 태양
세상에 딱 하나
왼쪽 아래 수직으로 났는데 닿아있어서 너무아파서 뺏는데 진짜 겁먹고 뺀건데 전혀 안아파서 어리둥절... 빼고 한시간만에 밥도먹음
10년 전
동성사랑방
망해써요ㅠㅠㅠ 망해써ㅠㅜㅜㅜ사랑니가 끝까지 다 안올라와서 잇몸이랑 이 사이에 음식물이 끼는데 잇몸 절제해서 빼야하는거죠? 망해써요ㅠㅠㅠ
10년 전
로그인
후 댓글을 달아보세요
이런 글은 어떠세요?
AD
전국 212개 초등학교 점심시간 축구 금지
이슈 · 1명 보는 중
미쳐버렸다는 미국 간호사 연봉 수준 근황
이슈 · 6명 보는 중
AD
'182㎞ 음주운전' 남태현, 1심 징역 1년…법정 구속은 면해
이슈 · 1명 보는 중
위고비, 마운자로 끊으면 요요가 심하게 오는 이유
이슈
AD
아이유 "16세 연기 무리수인가요"...'9학년 착붙 교복' 아역 배우 실직 시키는 '미친 동안'
이슈 · 3명 보는 중
일본인들이 한국 빵집을 보고 이상하게 생각한 점
이슈 · 6명 보는 중
엎어진거 아까운 드라마 1위
이슈 · 6명 보는 중
AD
(속보) 국민연금 고갈 2090년 연장, 수익률 82%, 231조 수익
이슈 · 1명 보는 중
AD
젠슨황 다녀간 깐부치킨 지점 근황
이슈 · 4명 보는 중
처음보는 유형의 스피또 10억 당첨 소감.jpg
이슈 · 3명 보는 중
오늘자 뉴욕 멧갈라 참석한 에스파 카리나 닝닝
이슈 · 3명 보는 중
AD
벽꾸했어 히히
일상
❤️ 🐱 우리 집 야옹이는 디자이너야 🐱 ❤️
일상 · 2명 보는 중
AD
현재 해외반응 최악인데 한국인들만 억울하다는 사진..JPG
이슈 · 7명 보는 중
샤워하면서 트린트먼트 10분 방치하는동안 뭐하니?
이슈 · 5명 보는 중
마운자로 맞고 살 빠진 친구
이슈 · 2명 보는 중
AD
전체
HOT
댓글없는글
이슈·소식
l
현재 스레드에서 난리 난 평범남 스타일링..JPG
375
정보·기타
l
집안일 못하는 금쪽이 남편 모음
217
6시간 기차 타는데 옆에 사람이 나에게
162
이슈·소식
l
현재 올해의 밈이라는 남미새 말투에서 반응갈리는 것..JPG
164
정보·기타
l
[1보] 주왕산 실종 초등생, 실종 사흘째 숨진 채 발견
157
이슈·소식
l
현재 반응갈리는 야화첩 🔞숏드 캐릭터포스터..JPG
104
정보·기타
l
100억 받고 평생 중국에서 살 수 있어?
95
이슈·소식
l
[단독] 양상국 "유재석 무례 논란? 실제는 아냐...의욕 지나쳤다" 사과 (직격인터뷰)
90
이슈·소식
l
18개월 어린이집 걱정돼요... 각종 질병에..JPG
173
이슈·소식
l
현재 민원폭탄에 식물 수준이라는 초등학교..JPG
78
이슈·소식
l
현재 성심당이 시달리고있는 파바 죽이기 음모론..JPG
70
정보·기타
l
회사에서 아랫것이 수고하셨습니다 라고 할수도 있지
80
이슈·소식
l
"살고 싶었을 아이, 눈도 못 감았다"…광주 피살 여고생 아버지 오열
52
mz들 연봉협상 근황
62
정보·기타
l
회사 선배가 잘못 보낸 카톡
63
수출용 너구리와 내수용 너구리의 차이
20:21
l
조회 127
한국어로 매력 어필 하는 일본 프듀 연습생들
1
17:05
l
조회 1521
소가 물에 빠지면?
5
16:02
l
조회 2731
월급날 내 모습
15:58
l
조회 4540
알바생의 센스
1
15:57
l
조회 3727
인생은 생각하기 나름
15:43
l
조회 2555
비행기 옆자리 어디가냐고 물어본 유튜버
30
15:28
l
조회 36431
몇 년전에 과외 해줬던 여자애한테 연락옴
1
15:19
l
조회 5231
문 잠그고 화장실 갔다왔는데
15:12
l
조회 5241
l
추천 1
남편이 못생긴 사람 있어?
14:36
l
조회 4744
귀여운 만두
1
14:34
l
조회 2836
스웨덴에서 가장 사랑 받는다는 화가
14:33
l
조회 1860
방귀로 룸메를 내쫓아버린 연세대생
13:58
l
조회 3094
레고 설명서를 안 읽은 딸
8
13:37
l
조회 12364
l
추천 2
찬성하면 신설돼요 ✅
신설 요청
3명 찬성 (목표 20명)
엑스러브
0명 찬성 (목표 20명)
아이딧
8명 찬성 (목표 20명)
스트리트
9명 찬성 (목표 20명)
하츠웨이브
15명 찬성 (목표 20명)
튜넥스
8명 찬성 (목표 20명)
맨체스터 유나이티드 게시판 신성 요청합니다
12명 찬성 (목표 20명)
플레어 유
2명 찬성 (목표 20명)
김재원(배우)
대학교 자취방 주인 아줌마 클라스
13:29
l
조회 5501
l
추천 1
정말로 실용적인 역조공만 해주는 데이식스 .jpg
10
12:51
l
조회 12470
황당한 이유로 법정에 서게 된 여자.jpg
11:57
l
조회 3967
현 시각 이탈리아에서 반응 터진 아직 데뷔도 안 한 그룹.jpg
11:51
l
조회 6102
말자쇼 제작진 도움으로 43년만에 찾고싶은 언니를 찾은 분
2
11:50
l
조회 8843
l
추천 3
이창섭이 반려견 구리랑 인생샷 재연한 후기...jpg
11:00
l
조회 13276
l
추천 3
더보기
1
2
3
4
5
6
7
8
9
10
다음
이슈
일상
연예
드영배
20:22
1
(약🔞) 유명 한식당 네이버 공식 대문...JPG
46
2
아이들 전소연 충격 근황
21
3
세탁기 못 넣는 황당한 신축 아파트
7
4
증권사 직원이 즐겨 하는 주식 매매 기법
13
5
삼성 하이닉스 다음으로 가장 핫한 종목
6
뮤지컬 덕후들이 비오는 날을 좋아하는 이유
7
7
현시각 침착맨방송 게스트.gif
2
8
현재 민원폭탄에 식물 수준이라는 초등학교..JPG
74
9
홋카이도와 대만은 생각보다 큽니다.jpg
3
10
뭔가 뜬금없이 해외에서도 바이럴되는 한국 AI 밈
2
11
피지컬100 출연했던 모델 근황 (요요)
12
삼전, 하닉 샀으면 돈복사 되는 거 모름??
1
13
초코우유 덕후의 한국 초코우유 평가
14
<취사병 전설이 되다> 박지훈 비주얼
15
자수성가한 슈퍼스타들의 사는 집 변화.jpg
16
놀러온 친구아들이 스피커 부셨는데
17
옛날 조상님들 이름 진짜 본새 난다고 생각하는 달글
2
18
"아직도 싸다” 불장에 '12000피' 전망까지 등장
19
강아지 산책 필수템
1
1
하닉 왜 떨어진거야????
5
2
이제 폭락시작이네
3
3
하이닉스 ㄹㅇ 내일 160 보게 생겼냐.....
2
4
주식 떨어지는 이유가 진짜 정부때문이야?
13
5
하닉 198에 삼 ㅋㅋ
15
6
하닉 141에 사서 오늘 184에 팔았다 ••
2
7
하루이틀가지고 호들갑떨지말고
4
8
내친구가 무슨 공무원이 주말출근하냐고 하는데
9
9
솔직히 모르는거긴 하지만 하닉 존버할거임? ㅜ
7
10
호텔에서 문 막 따고 들어옴 원래…?
1
11
3월이 진짜 바겐 세일이었네
12
폭락이면 숏 치면 되잖아ㅋㅋㅋㅋ
13
나처럼 얼굴 피부 얇은 익들있어?
4
14
빵 만들엇어40
5
15
주식 얘기 일상글에서 규제하는거 필요해보임
13
16
조용한 사람한테 왜 말없냐하는거 실례라고생각해??
2
17
소개팅 정산 어떻게 해야돼?;;ㅜㅜ
7
18
진돌이가 그려준 이 두 짤이면 야구 경기 내내 사용 가능
3
19
소개팅 번호받고 당일 자녁 연락 vs 내일 아침 연락
5
20
옛날엔 롯데리아에서 생일파티도했음???ㅋㅋㅋㅋ
17
1
갑자기 숨 약간 후... 하고 쉬는게 공황 증상이래...
50
2
임지연 뭔가 살짝 얼굴 달라진거같음
4
3
알티타는 민희진 강의 518 발언
4
4
매거진 인턴하는데 연예인들 보정요구 진짜 많다ㅠ
26
5
광주 518강연 한다고해서 정치로 엮으면 어떡하냐는 질문에 민희진 답변
3
6
코르티스 건호 ㄹㅇ 키 컸나봐
7
7
헐 살다살다 이런 폭력적인 비주얼의 바게트 처음봄ㅋㅋ
13
8
노인들한테 나는 특유의 요상한 냄새 있잖아
3
9
원아페 대기 1.1 방금 일요일 s13 연석 잡고 나옴
5
10
09년생 가지고 이런거 적당히 찍어주세요(p)
11
해외는 의외로 2세대 케이팝 팬들이 많은듯
1
12
날티랑 청순 둘 다 공존하는 얼굴인 돌 있나
26
13
제베원 컨포 촬영 때 방탄 광화문 공연해서
14
핫써머 가사 대체 이 부분 무슨 뜻임...??
2
15
남쟈 밈은 🥴 << 이 임티가 킥임
1
16
지디소속사로 신인개발팀장이 왜 가ㅋㅋ
7
17
캣츠아이 소피아가 라방에서 인어공주 ost불러줬는데 개잘함
1
18
오늘 우찬 홍대 왜간거야??
4
19
다이소 비눗방울 탐나는거 처음임
14
20
태연 요즘 아이메이크업 안 하고 파데 얇게 하구
1
아까 장원영 변우석 투샷 그거 찐이네
15
2
변우석이랑 김지원 쇼 나란히 앉은거같은데??
11
3
아이유 메이크업 진짜 이걸로 박제해줬으먄
3
4
변우석 이민정 배우님이랑 웃는거봐ㅋㅋㅋ
9
5
비율이 어떻게 이러지 ㅈㅇ 불가리 변우석 장원영
24
6
불가리 김지원 변우석 이 사진 쩐다
16
7
김지원 이 외모로 로맨스드 안찍는거 말이 안됨
15
8
와 김지원 진짜 이쁘다
1
9
기범이 너무 안타까워서 마음이 너무 답답하다 하
10
김고은 백상때 ㄹㅇ이었네....
17
11
대군부인
지금 10화 보는데 초반에 둘이 연기
3
12
대군부인
총리 결말 어떨거같음 예고에서 대군자가께서 깨어나셨으니
9
13
변우석 광고 몇개해?
6
14
김지원
환호소리에 빵터진 김지원
6
15
프로젝트헤일메리 잼난다고 왜 말안해줘?
7
16
변우석
유캠이랑 오늘 스케 갭차이 뭐꼬..
5
17
변우석
변우석 오늘 언제퇴근해? 저행사 언제까지함
7
18
변우석
변우석 뱀하트자랑ㅋㅋㅋㅋㅋㅋㅋ
34
19
대군부인
아 예고보는데 민가놈 때메 벌써 혈압오름
20
대군부인
8회 취조실 변우석 유독 냉해 보여
7
인스티즈앱 설치
소개
이용 문의
광고/제휴
채용
권리 침해
개인정보취급방침
(주)인스티즈 사업자등록번호 : 655-86-00876
통신판매업신고 :
2017-서울강남-03991
대표 : 김준혁
© instiz Corporation