나는 4년 정도 치과 아르바이트 경험과 두 번의 실습 내용을 바탕으로 글을 적음
많은 사람들이 치과에 대해 많이 알았으면..
1.
나: 치과에서 엑스레이 너무 많이 찍어요ㅠㅠ 이거 안 좋지 않아요?
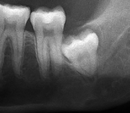
A. 치과에서 촬영하는 사진의 가장 대표적인 것은 '파노라마'라는 사진임. 서서 손잡이를 잡고 있으면 삐~ 같은 소리가 나면서 한 바퀴 돌아가서 나오는 사진이 바로 파노라마.

바로 이렇게 나오는 사진임
이 사진을 찍을 때 나오는 방사선 노출량= 1회에 0.011mSv
이 양이 어느 정도냐면 하루에 우리가 받는 방사선 량의 0.3%를 차지하는 비율임
0.3%??? 그것밖에 안 된다는데 말이 돼???? 라고 생각하는 사람이 있을 텐데 우리가 살고있는 지구에는 자연방사선이 존재함. 무슨 뜻이냐면 우리가 길거리를 걸어가는 도중에도 우리는 항상 방사선에 노출이 되어있다는 뜻임
그러니 치과에서 일주일이든 한달이든 한, 두번 촬영하는 파노라마 사진은 방사선 걱정 ㄴㄴ 해도 되는 부분
(거동이 불편한 환자거나 오래 한 자세로 있을 수 없는 환자들을 촬영하기 위해 치과위생사는 하루에 세네번씩도 환자와 함께 촬영하기도 함..)
참고로 한 부위만 촬영하는

이 촬영에서 발생하는 방사선 노출량은 1회에 0.003mXv

매복된 사랑니 발치할 때 쓰이는 CT의 방사선 노출량은 1회에 0.09mSv
2.
나: 선생님 왼쪽 사랑니가 아파요ㅠㅠ

의사: (파노라마 사진의 오른쪽을 가리키며) 네. 여기 사랑니는 매복이고 신경이랑 가까워서 수술로 뽑아야해요.
나: 네? 아니 오른쪽이 아니라 왼쪽이 아픈데..
의사: (다시 오른쪽을 가리키며) 네. 그러니까 왼쪽이요.

치과에서 나오는 파노라마 사진은 왼쪽과 오른쪽이 반대임. 위에 나오는 사진을 봤을 때
왼쪽=실제 우리 얼굴의 오른쪽
오른쪽=실제 우리 얼굴의 왼쪽

이거임. 그러니까 치과에서 선생님이 자꾸 반대로 말한다고 당황하지 말길
3.
나: 나 이 뽑고 임플란트 해야한대..ㅠㅠ 그런데 대학병원 갔더니 한 개에 250만원이래..
친구: 250?!?! 야 요즘 누가 임플란트를 그렇게 비싸게 주고해!! 내 친구는 60만원에 했다는데

나: ?!!???!?!??!?!? (동공지진)
에.. 또.. 임플란트에 대해서라면 정말 할 말이 많지만..
내가 지금까지 다닌 실습 병원들과 아르바이트 (개인치과)를 기준으로 대충 살펴봄
대학병원: 국산 200 외산 250
개인병원 국산 100 외산 200
대충 이정도 가격임 (물론 친구들에게 물어본 가격들과 내가 지금까지 본 가격의 평균 값이지 모든 치과가 저렇다는 건 아님)
임플란트에는 기본적으로 받아야 하는 가격과 제품마다의 출고 가격이 있음
그렇지만 임플란트 가격이 터무니 없이 너무 낮다?
솔직히 의심해볼만 하다고 생각함
내가 아르바이트 하던 개인치과는 임플란트 1개 가격이 100만원이었음. 대신 뼈이식 해야하는 곳은 원래 50만원 정도 추가 비용을 받아야 하지만 무료로 해줌. 보통 치과에서는 적자로 못 함
그런데 병원이 어떻게 돌아가냐?
원장님 1명.
하루 임플란트 수술 기본 6개.. (오전에 3개 오후에 3개정도.. 풀 케이스 환자면 공휴일에도 수술해줌..)
평균 하루동안 심는 개수 10개 이상
어떤 날에는 위에나 아래에 한번에 10개 넘게 심는 날들도 많음
수술 예약은 최소 3주이상 꽉 차있음
이정도로 심어야 겨우 임플란트로 본전이 남았음.
그런데 너무 터무니 없는 가격으로 임플란트를 심는다? 이건 좀 봐야함.
그런 치과들은 어떻게 싸게 심을까?
한 가지 예시를 들어주자면..
임플란트에도 유통기한이자 사용기한이 있음. 그런데 이 유효기간이 지난 임플란트들은 회사에서 수거해감
내가 듣기로는 이런 유통기한 지난 제품을들 사가서 싼 값에 심는 치과가 종종 있다고 함.
....
자세한 얘기는 생략한다.
결론: 뭐든 너무 싼 값은 의심해보자.
나: 임플란트 국산이랑 외산 차이가 뭐야?
4. 사실 국산이랑 외산이랑 기능성이나 구조 면에서 별로 다른 건 없다고 함.
하지만 외산이 비싸고, 대학병원에서 외산을 추천하는 이유는 보통 오랜 연구와 다양한 결과 등에 있음.
우리나라는 임플란트가 대중화되고 다양화 된 게 생각보다 오래 되지 않음
하지만 외국에서는 우리보다 훨씬 옛날부터 임플란트에 대해 연구하고 다양한 실험 결과와 임플란트를 심은 환자를 몇 십년간 경과를 보고 어떤 문제점이 있고 어떻게 보완을 해야하는가 등에 대해서 연구를 한 게 우리나라보다 훨씬 오래 되고 그만큼 많이 발전되었음.
그렇지만 내 기준에서 대학병원을 포함한 몇 몇 곳에서 항상 듣는 설명은
국산과 외산의 차이점은 별 거 없다. 그냥 외산이라서 비싼 거고 외산이 더 오래되어서 그런 거다 이 뜻임.
옛날에 임플란트 심었는데 그 회사 망해서 이 임플란트 하는 곳이 없대..ㅠㅠ
이런 가능성이 외산은 거의 없다는 거임.
최근 국내 임플란트만 봐도 브랜드가 다양하게 늘어나고 있음 예를들면 오*템, 디*, 덴*움, 네* 등등..
내가 적은 곳들은 어느정도 회사 기반도 튼튼하고 대학병원에서도 식립하는 회사지만 우리에게 알려지는 임플란트 회사들이 많은 만큼 새로 생기는 임플란트 회사들도 늘어나고, 그만큼 사라지는 회사들도 많음.
그러나 외산은 몇 십년 이상 그 브랜드를 유지한 회사들의 제품들을 거의 사용함.
그러니까 결국은 외산= 시간이 지나도 망할 가능성이 바닥에 가깝다는 뜻
대충 이해는 됐을까? 한마디로 기능성에서 차이는 거의 없지만 외산이 비싼 건 그만한 이유가 있다는 뜻임
5. 국산도 가격이 갈리는데 그건 왜 그런 건가요?
국산에서 갈리는 가격이라면.. 가장 큰 이유는 광고비..
임플란트 하면 다들 생각나는 오*템 임플란트.. 티비에서 광고 자주 봤지? 물론 품질 면에서 다른 임플란트 들과 어떤 차이점에 있는지 구체적으로는 모르지만 이건 알음..
가격이 더 비싼 오*템 임플란트와 타 회사 ** 임플란트는 같은 키트로 심을 수 있다는 점..
내가 아르바이트 하던 곳에서도 설명을 할 때 이렇게 설명했음.
환자: 오*템과 ** 차이점이 뭐예요?
위생사: 오*템은 광고를 많이 해서 더 비싸게 받아요.
... 실제로 이렇게 얘기함. 물론 다른 면들도 있음. 치과 기준으로는 오*템이 확실한 A/S 시스템을 갖투고 있다는 점이나 인식 면으로 봐도 비싼 가격을 받을만 하다고 생각함. 게다가 인지도=그만큼 이 회사 제품을 사용하는 곳이 많다는 점. 나중에 문제가 생겼을 때 다른 치과를 가도 이 회사 제품을 사용하는 곳이 많다는 점 등을 보면 비싼 가격에도 이유가 있는 것임.
아무튼.. 이정도로만 적을 예정인데 도움이 됐을까 모르겠네..
더 궁금한 건 댓글로 물어봐주면 다음에 글 쓸 때 참고해서 적을게!
이 모든 글 작성은 글쓴이의 경험과 주관에서 비롯된 것임을 미리 밝힙니다.

인스티즈앱
(🔞약후) 요즘 잘생겼다고 반응 좋은 인플루언서들..JPG