오늘도 평화로운 응급실 따흐흑ㅜㅜ
내시경 사진 혐오스러울 수 있어서 내가 다 스티커 붙임..




++댓글 제보ㅋㅋㅋㅋ


항문에 뭐 좀 넣지 마세요55세 남환입니다.blog.naver.com
++한분 더ㅋㅋㅋㅋㅋㅋㅋㅋㅋㅋ
필력 주의ㅋㅋㅋㅋㅋㅋㅋㅋ
어느 추운 겨울날 새벽이었다. 나는 비교적 평온한 근무 중이었고, 한산한 응급실 문이 열리고 딱 보기에도 앳된 남고생이 하나 걸어 들어왔다. 단정하게 깎은 머리에 수수한 옷을 입은 평범한 인상의 고등학생이었다.
나는 응급실 당직 근무 중일 땐, 환자를 쓱 보고 왜 여기까지 오게 되었는지를 맞춰보는 습관이 있다. 성별, 나이, 그리고 행색과 표정을 보고 어디가 아픈지, 혹은 무엇이 불편해서 왔는지를 한번 짐작해보는 것이다. 그걸 몇 년 정도 짐작하다 보면, 그 추측은 때로 잘 맞아떨어졌고, 그게 나름대로 응급실 근무에 소소한 재미가 되었기 때문이었다. 나는 이번에도 촉을 발동해서 그 고교생을 바라보았다. '음, 남자 청소년은 대부분 다치거나 복통으로 오는데...' 하지만, 방금 들어온 고교생은 어디 다쳐서 피 흘리는 곳도 없었고, 그리 불편한 기색도 없었다. 그는 사지 멀쩡하게 진료실로 뚜벅뚜벅 걸어 들어왔다. '이 새벽에 왜 온 거지? 도저히 이 친구는 짐작할 수가 없군.'
나는 혼자 복잡하게 추측하며 환자에게 첫 질문을 던졌다.
"어떻게 오셨습니까."
그리고, 그 고교생은 주저하며 대답했다. 그 내용은 도저히 내가 처음부터 예측할 수 없는 종류의 것이었다. 환자용 의자에 앉지 못하고 진료실 복판에 우뚝 서서 그는 이렇게 답했다.
"저, 말하지 못할 부분에 쉐이빙 크림 통이 들어가 버렸어요. 일부 말고 전, 전부 다요..."
"여기는 말하지 못하는 부분도 말할 수 있는 곳입니다. 구체적으로 어디입니까?"
"항문이요."
"어쩌다가 그게 들어간 겁니까?"
"그게... 저, 샤워를 하다 미끄러져서 넘어졌는데... 문득 주위를 둘러보니깐 바닥에 놓여 있던 긴 쉐이빙 크림 통이 없어졌더라고요... 뿅 하고 사라진 것처럼, 감쪽같이요."
윽. 물리적으로 불가능한 일이다. 나는 참 감쪽같지 않은 거짓말이라고 생각했다. 나는 어금니를 깨물고 실룩거리는 얼굴 가죽을 붙들며 말했다.
"일단, 환부부터 보고 확인해봅시다. 앉지 말고 곧장 여기 엎드려 누우세요. 앉으면 아무래도 불편할 테니까요."
웃음을 참으라 이를 악물었기 때문에 내 발음이 참 웃기게 들렸다.
그 고등학생의 바지를 벗기고, 뒤로 눕혀 무릎을 꿇게 한 채로 열어보니, 확실히 들어 있었다. 뒤집힌 반구형의 은색 물체가 아주 비좁은 틈 사이로 보였다. 그것은 보이는 몸집의 몇 배가 심해에 묻혀있는 빙산의 일각이나, 가도 가도 끝이 없는 우주에 살고 있지만 태양계 안에서만 맴도는 지구인처럼, 저 뒤로 도저히 상상할 수 없이 광활한 세계가 숨어 있음을 시사했다. 손을 집어 비좁은 틈을 벌려 보았지만 뒤집힌 반구형 은색 바닥의 지름만 약간 커져 보였다. 게다가, 안이 오목하고 바깥이 동그랗게 돌출되어 있는 모양이라서 도저히 이대로 나올 수 없어 보였다. 나는 곧장 빼려는 시도를 한번 해 보았다. 하지만, 그것은 촘촘한 창살 안에 갇혀 도저히 탈옥할 수 없는 죄수 같았고, 항문을 벌리며 시도할수록 저 너머로 환자가 괄약근을 움찔거리며 불편해하는 것이 손끝으로 느껴져왔다. 나는 이 방법을 포기했다. 그리고 생각했다.
'이 친구도 이 과정을 혼자 한 번 겪어 봤겠지. 아니, 여러 번 해봤을 거야. 병원만은 도저히 안돼... 쪽팔려... 이렇게 생각하며 필사적으로 벌려 봤겠지. 그리고 곧 자신의 처지가 탈옥할 수 없는 죄수와 같다는 것을 깨달았을 거야. 그리곤, 병원에 오면서 사건의 경위를 필생의 창의력을 발휘해 지어내고 있었겠지. 새벽하늘이 노래졌겠군. 그나저나, 이 친구, 생각해보니 창의력이 제법 대단한데?'
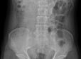
엑스레이에선 형체가 하나도 망가지지 않은 길이 십여센치의 쉐이빙 폼이 찍혀 나왔다. 윗 부분의 분사구와, 아래의 반구 모양, 긴 몸통이 선명하게 의료용 엑스레이 화면에 떠 있었다. 그 모양은 너무 온전해, 마치 누가 그 통을 손에 들고 감마선을 잘 겨냥해 찍어 놓은 것 같았다. 그걸 들고 있는 것은 그의 직장直腸이었지만 말이다.
스테이션에 돌아가니 호기심을 숨기지 못한 간호사들이 그의 차트를 열독하고 갑론을박을 벌이고 있었다. 대부분 이 언급의 진위 여부와, 실제로는 어떤 일이 벌어졌느냐는 것에 관한 것이었다. 크게 두 파였는데, 첫 번째는 쭈그려 앉아서 재미(?)를 봤다는 거고, 두 번째는 서서 봤다는 것이었다. 쭈그려 앉아서 봤다는 파가 훨씬 우세했고, 반대파는 어찌 그걸 그렇게 잘 아느냐는 말로 응수했다. 그 와중에 넘어져서 들어갈 수도 있는 법 아니냐는 순진무구한 친구와, 쉐이빙 폼이니 밑엘 면도하려고 했던 것 아니냐는 개그 욕심 충만한 친구가 소수의견을 내고 있었다. 새벽 시간이고, 유독 한가했던 그녀들은, 토의가 길어지자 이 승부를 떠나 그 난상토론을 한없이 즐기는 것처럼 보였다.
나는 환자를 불러 입원과 수술에 관해 설명했다.
"자, 그게 그 자리에 그러고 있으면 '말할 수 없는 곳'이 제 할 일을 못하겠죠. 걔가 가로막고 있는데 그 친구가 알아서 나올 것도 아니고, 그렇다면 쌓이기만 할 텐데, 왠지 끔찍한 일 아닙니까? 그러니 날이 밝는 데로 수술을 해서 그 친구를 빼줄 겁니다. 수술은 간단합니다. 수술방에 올라가서 전신마취를 받습니다. 그러면 우리가 잘 빠지는 상태로 세팅을 해 줄 거예요. 그 상태에서 혈관으로 근 이완제를 듬뿍 쓸 겁니다. 그러면 '이름을 말할 수 없는 곳' 과 근처 근육에 힘이 빠지겠죠. 그러면 그걸 충분히 벌려서 빼낼 겁니다. 들어갈 때보다도 훨씬 많이 벌려야 그 두꺼운 걸 빼낼 수가 있겠죠. 따로 그 도구가 있어요. 이렇게 넣고, 나사를 조이면 이게 요렇게 벌어지는 겁니다."
내가 손 모양으로 그 기구의 흉내를 내자 그는 몹시 끔찍한 표정으로 눈살을 찌푸렸다. 나는 말을 이어갔다.
"수술 후에 며칠은 누워만 지낼 겁니다. 그걸 그 정도까지 벌리면 보통 사람들은 꼼짝도 못해요. 상상해봐도 그렇죠? 한 일주일은 아무것도 못하고 침대에 앞으로 누워서 진통제만 맞고 있어야 됩니다. 밥도 누워 먹고요."
아마 지금부터 암 수술 때문에 배를 열어 당신의 장기를 만진다고 하거나, 부러진 사지를 한꺼번에 맞춘다고 했어도 그런 표정을 짓지는 않았을 것이다. 그는 그 인생에서 있었던 우환이 이번 기회에 한꺼번에 다시 찾아온 표정을 지었다. 그는 침대에 모로 누워 멍하니 앞을 바라보다가, 사태를 인정하고 절인 배추처럼 시무룩해졌다.
"네 알겠습니다..."
그는 입원 대기로 특별히 마련된 구석 침대에서 밤새 안정을 취하고, 다음날 찾아올, 도저히 들어서는 상상도 가지 않는, 믿을 수 없는 일을 기다리기로 했다.
새벽 시간이 지나가고 해가 떠올랐다. 이른 아침엔 환자의 어머니가 비보를 듣고 병원으로 달려왔다. 이 연락을 맡은 원무과 직원은 도저히 전화로 환자의 상태를 정확히 전할 수 없었다. 그는 아주아주 급한 일이 발생했는데, 지금 벌써 입원 중이고, 날이 밝는 대로 응급 수술을 해야 하니 얼른 오시라고 전화한 모양이었다. 어머니는 도착하자마자 불안감에 떠는 표정으로 주치의를 찾더니, 곧 나타난 나를 붙들고 조심스레 물었다. "우리 아들이... 도대체 무슨 일이 일어난 거죠? 정말 그렇게 급히 수술이 필요한가요?" 나는 그 자리에서 바로 말할 수 없었으므로, 아무도 없는 진료실로 보호자를 안내하고 차근차근 설명하기 시작했다.
"항문에 이물질이 들어갔습니다."
"네?"
"여기, 엑스레이 보이시죠? 이거, 겹쳐서 찍힌 거 아닙니다. 배 안에 들어있는 겁니다."
"이게 어떻게 들어갔답니까?"
"샤워하다가 넘어졌는데, 들어갔다고 합니다."
"무슨 병에 걸렸거나 그런 건 아니고, 그냥 이 문제인 건가요?"
"네, 이것뿐입니다."
"... 이... 이... ... "
"당장 입원해서 응급수술을 받아야 합니다. 일주일간 입원입니다."
어머니는 뭐라 설명할 수 없는 표정으로 한동안 생각하더니 고개를 숙이고 대답했다.
"우리 애... 고삼이에요. 수능이 십 칠일 남았어요." >
순간 환자의 벼락 맞은 표정과 어머니의 침통한 감정이 나에게 완벽히 이입되었다. 영화 말미의 반전 부분에서 사태를 설명하는 장면이 휘리릭 지나가듯, 여기서 그들이 보였던 반응이 머릿속에서 휘리릭 지나갔다. 그 반응들을 십분 이해시키는, 상황을 꿰뚫는 한마디였다. 일생 한 번뿐인 수능을 앞두고 이들에게 과연 무슨 일이 벌어진 것일까.
어느 때처럼 간 밤의 내원 환자와 현 재원 환자의 브리핑을 하고 아침 회진을 돌았다. 언제나 엄숙한 과장님은 예의 근엄한 얼굴로 번뜩이는 청진기를 목에 걸고 순서대로 환자를 진찰하기 시작했다. 우리 의료진은 묵묵히 아침마다 벌어지는 그 의식을 따라 회진을 돌고 있었다. 그런데, 저 한구석 커튼 뒤에서 모자母子의 길고 긴 대화, 아니 길고 긴 말다툼이 들려오고 있었다. 그것을 여기 자세히는 옮길 수가 없지만, 대체로 이런 식이였다.
"아이고 이놈아. 수능이 십칠일 남았다. 그동안 공부도 못하잖니. 정신도 못 차리는 놈아, 이게 도대체 무슨 짓이냐. 대학에는 갈 거냐."
"엄마. 쪽팔려. 그만해."
"아니 네가 무슨 암이라든지, 폐병이라든지, 아니 차라리 열이 펄펄 끓는 감기여도 말도 안 한다. 아니 어디 몸이 아픈 것도 아니고..."
"엄마 쪽팔려. 사람들 들어. 그만하라니까."
"네가 팔다리가 부러지거나, 무슨 질병이 걸린 것도..." >
"엄마 그만 좀. 그게 여기 들어있는데 어떻게 해."
"그러니깐 그게 왜 거기 있냐고. 거기 있어야 하는 데도 아닌데. 그걸 왜 거기다가...."
"엄마 제발 조용히 좀. 옆에서 들어. 쪽팔려. 제발."
감정이 폭발한 어머니와, 폭발적으로 쪽팔린 아들의 그 말다툼은 상황을 알고 있는 우리가 듣기엔 정말 돌아버릴 것 같았다. 그 대화가 계속되자 우리는 과장님 등 뒤에 숨어 고개를 돌리고 이를 악다물고 키득대기 시작했다. 아마 한 명만 못 참고 웃어버렸으면 다들 쓰러져 웃어버렸으리라. 하지만, 엄숙한 회진 시간 동안 우리는 의료인의 체통을 지키기 위해 죽을힘을 다 하고 있었다. 나는 주치의라 남들처럼 과장님 뒤에 숨을 수 없어 옆에 서 있었는데, 얼굴 근육이 마비되고 정신이 거의 몽롱해지고 있었다.
하지만, 과장님은 아랑곳없이 아무 눈치 없는 복통 환자의 진료를 보고 설명을 하고 계셨다. 나는역시 과장은 아무나 하는 게 아니라는 존경심으로그를 바라보고 있었다. 마침 응급실 창밖으로 햇살이 내리고, 환자의 이야기를 듣고 있는 과장님의 얼굴에 볕이 비쳤다. 그 순간 나는 보았다. 근엄한 과장님의 번쩍이는 금테 안경 뒤로 씰룩거리는눈주름과 맺힌 눈물이, 이를 악물어 어긋나는 양측 턱이, 그리고 부자연스럽게 패인 볼살이. 아, 언제나 진중했던 과장님도 지금 필사의 노력을 하고계셨던 것이다. 그렇게, 그 말할 수 없는 곳에 관한이야기와 아침부터 벌어진 모자의 언쟁은 우리 전부를 가보지 못 했던 니르바나Nirvana로 인도했던 것이다.
#2015.5.22 (2)어느 추운 겨울날 새벽이었다. 나는 비교적 평온한 근무 중이었고, 한산한 응급실 문이 열리고 딱 보기에도...blog.naver.com

그만혀ㅜㅜㅜㅜ 제발 그만 좀 혀ㅜㅜ 거기 입구 아니고 출구란 말이여ㅜㅜ

인스티즈앱
현재 논란중인 디즈니랜드 백설공주 왕비 해고..JPG