나라에서 1년에 한번씩은 의료보험으로 스케일링 싸게 받을 수있음.
의료보험 적용 안받으면 6만원정도 하는데
일년에 한번은 1만원에서 15000원만 내면
스케일링을 받을 수 있는거임
스케일링 왜 받아야하는데??

일단
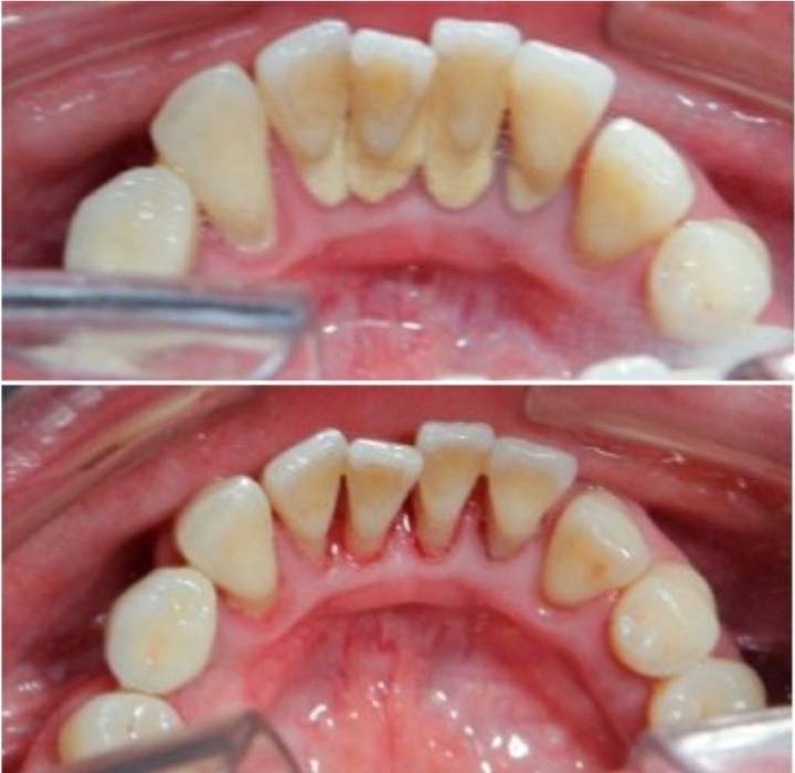
치석이 치아 밑동에 쌓이면
점점 잇몸 내려감

그럼 이렇게 블랙 트라이앵글이 생김
아 물론 저게 보기 싫다고 치석으로 꽉꽉 채워서
보색효과를 내고 다닐 수도 있음
문제는 치석이 쌓이면 더 내려앉아서 뿌리 다 보임..
그럼 내려앉은 잇몸은 어떻게 다시 올리냐??
방법 없음.
하얀 레진으로 치아 밑동을 감싸서 안시리게 하거나(그래도 잇몸 더 내려감)
아니면 입천장을 얇게 포떠서 잇몸에 덧대거나(그래도 다시 잇몸 내려감)
내려간 잇몸은 다시 안올라옴.

그리고 심하면.. 치아녹아
치아는 있을 때 관리잘해
초중딩때 난 영구치 죽을때까지 써야한단말이야.
극복하는 방법은
1. 치석 많이 없으면 스케일링 별로 안아픔. 평상시에 치실써
2. 다시 되살릴 수 없는 잇몸생각해봐. 참고 하게됨
3. 치아뼈 녹으면 임플란트도 어려운데. 미래를 생각해봐 참고 하게됨.



인스티즈앱
자폐아 낳을 확률이 2배 높은 부모 직업