바로바로 간선종 또는 간샘종
간에 종양이 생기는건데
양성이라 예후는 괜찮지만 수술이 필요해
그리고 종양이 여러개면 악성으로 진행될 가능성 커져
보통 통증 호소하다가 발견하는 경우가 30%
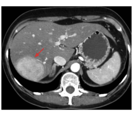
저 종양이 생각보다 큰게 보이지?
저게 터져서 복막출혈로 인한 사망이 30%야
원인이 뭘까?
왜 젊은 여성에게서만 나타날까?
그건 바로 경구 피임약..
원래 간선종은 보기드문 질환인데
1970년도부터 경구 피임약이 보급되면서
간선종 발병률이 늘어가고 있대
네이버에 간선종만 검색해도
설명에 딱 나와있음..
근데 이게 정말 피임약으로만 사용이될까?
이미 산부인과에서 호르몬조절 목적
그러니까 치료목적으로 흔하게 처방되고 있음..
이렇게 큰 부작용이 있는데 어느 개선점도 없이
약국에서도 흔하게 판매하고
병원에서도 흔하게 처방해주는게
이게 맞을까?ㅜ
결론은
1. 관계시 피임은 남자가
2. 제약회사에서 부작용없는 경구 피임약 개발 시급
이 두가지야!!!!!
++++
여시들이 헷갈려하는거 같아서 추가할게!
피임약 복용 여성 95%가 다 걸리는게 아니라
간선종 환자 중 95%가 여성이라는 얘기야!그리고 약 장기간 복용할수록 확률은 올라가고
4년 이상 복용한 사람이 제일 많대
5~7년 복용자는 위험성이 5배 이상
9년 이상 복용자는 25배까지 올라간대!
피검사로 진단할수는 없고
CT,MRI,혈관조영술로 확인 가능해
https://www.kasl.org/pdf/2004%20pg%20Course/27401419.pdf
궁금한 여시들은 논문 참고!

인스티즈앱
요즘 프랑스가 혐한에 미쳤거든