호출 예약
호출 내역
추천 내역
신고
1주일 보지 않기
카카오톡 공유
https://instiz.net/name/57186325
주소 복사
상세 검색
카테고리
기간
시간순
조회순
추천순
댓글순
스크랩순
~
기간 탐색
회원가입
이용 방법·규칙
ID 저장
자동 로그인
HOT
이슈
일상
연예
드영배
장터
픽션
공포
뷰티
스터디
iChart
출석체크
게임
변경
인기글
필터링
전체 게시물 알림
일상
신설 요청
주식
T1
혹시 미국에서 여행 중이신가요?
여행
l
외국어
l
해외거주
l
해외드라마
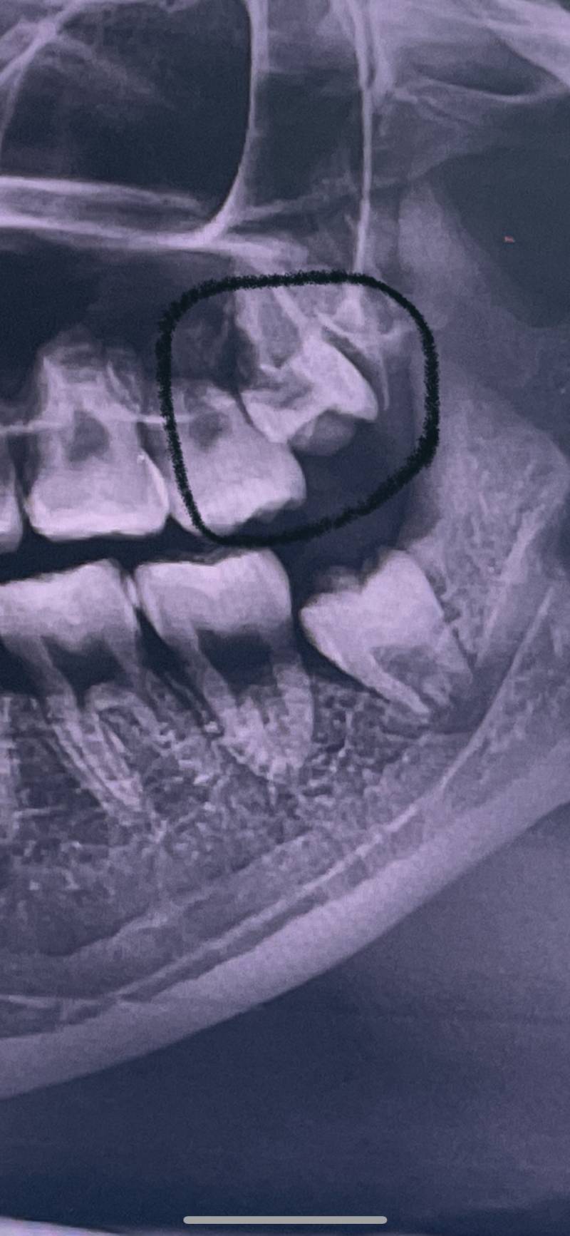
나 사랑니ㅠㅠㅠㅠㅠ
6
2년 전
l
조회
113
인스티즈앱
이 글은 2년 전 (2023/12/14) 게시물이에요
이건 6개월전에 찍은거고 지금 동그라미 친 이빨이 좀 났거든?? 저거 매복일까..? 좀 아픔 ㅠㅠ
연관글
짝사랑도 다이어트가 되는구나 ㅋㅋㅋㅋ
사회성이 없는게 뭐야?? 낯선사람이랑 말 잘..
17
사람들이랑 친해지는법
2
헬스장 사람 가장 많은 시간대랑 적은 시간대가..
어릴 때부터 누구랑 놀든 재미없었던 사람..
내일 회사 분들이랑 점심에 뷔페 가기로 했..
21살에 사귄 첫사랑이랑 결혼까지 갈 확률..
5
익인1
어우 뽑아야겠다.. 다나온거 아니면 어차피 째야할걸..
2년 전
글쓴이
하~~ 6개월전에 뽑은것도 매복이었는데ㅠㅠㅠ
2년 전
글쓴이
지금 점처럼 보일정도로 약간 났는데 얼마나 났을때 뽑아야돼??ㅠㅠ
2년 전
익인1
치과에서 뽑으라거 하면 뽑아야지.. 잘 못 하면 아프고 잇몸 염증생겨ㅠㅠ
2년 전
글쓴이
아ㅠ 치과가봐야겠다.....고마워 ㅠ
2년 전
익인1
웅웅 나도 매복 사랑니 4개 다 뺏어서 마음 이해해...힘내ㅠㅠ
2년 전
로그인
후 댓글을 달아보세요
이런 글은 어떠세요?
중학생이 생각하는 옛날에 어른들이 썼다는 단어.jpg
이슈 · 2명 보는 중
강아지 유치원에서 잘못 보낸 영상
이슈 · 8명 보는 중
AD
요즘 청소년들의 왕따 방식
이슈 · 9명 보는 중
AD
피부예민러인데 이 선크림 짱좋다
일상 · 3명 보는 중
AD
태국 트렌스젠더 실물
이슈 · 3명 보는 중
🚨(실화) 현재 난리 난 서울 전광판 근황🚨
이슈 · 2명 보는 중
AD
옷 매치 잘하는 익들아
일상 · 1명 보는 중
💥어제 밥먹으러 갔는데.blind
이슈 · 7명 보는 중
요즘 𝙅𝙊𝙉𝙉𝘼 바이럴 되고있는 포테토남..JPG
이슈 · 2명 보는 중
'근데 케이패스 있잖아.. 난 왜 캐시백이 안들아와?
일상 · 1명 보는 중
AD
AD
[공식] 김희애, 깜짝 소식 알렸다…23살 연하 남배우와 ♥파격 로맨스 "사랑과 의심" ('골드디거')
이슈 · 2명 보는 중
웹툰에서 나온 '자기연민'에서 빠져나오는 방법
이슈 · 1명 보는 중
AD
아기 생기니까 사람들이 다 친절하네요
이슈 · 3명 보는 중
이런 반박 증후군 있는 애들 이유가 뭐야?
이슈 · 3명 보는 중
AD
은근히 꽤 많다는 공항 늦게 가는 사람들.jpg
이슈 · 2명 보는 중
늑구 돌아온 대전 오월드 풍경 예상..JPG
이슈 · 2명 보는 중
전체
HOT
정보/소식
팁/자료
기타
댓글없는글
일상
l
20대들아 너네 자산 솔직공개해줘.. 진ㅁ자
283
일상
l
현실에서 9살 차이나는 의사 만나라고 하면
156
일상
l
에 민경 승용 사귄대
97
LG
l
OnAir
👯♂️❤️ 승기 승 좀 주라 주 | 260508 달글 🖤👯♂️
4997
야구
l
알림/결과
2026.05.08 현재 팀 순위
100
이성 사랑방
l
과몰입 주의
무조건 거르는 이성 mbti 있어?
85
SSG
l
OnAir
❤️ 어버이날인데 다들 효도하자 승리로 보답해라.💐 | 05.08 달글 ❤️
1228
한화
l
엥 하주석 지가 태그업 못 가고 원석이한테 "뭐” 이러는 거 봄?
77
NC
l
OnAir
아구스라고 불리는 건 왜 이렇게 싫어하는 거야? 홈에서 위닝하면 다이노스라고 해주마 | 260508 ..
1587
두산
l
급 궁금 다들 누구랑 친구야
37
삼성
l
OnAir
💙260508 답꾸하자💙
282
KIA
l
오늘도 바이럴을 돌려보자
28
롯데
l
누가 호준이 짝짝이 공구해줘...
24
주식
l
근데 다들 시드의 몇 배씩 불렸어..?
18
메이플스토리
l
코디러들은 다 차원의 탑 좋아해??
10
나 마음 식은건가?
12:14
l
조회 1
극과극은 통하는듯 비혼이랑 남미랑
12:14
l
조회 2
배민 진짜 배달 기사 안잡히네
12:14
l
조회 2
버거킹 어디 지점은 주문한 버거 이름 프린트한 스티커 붙여주고 어디는 그냥 영어약자로 써주는데
12:14
l
조회 2
원래 사람이 약 잘못 먹음 완전히 다른 사람 돼...?
12:13
l
조회 7
2년차 공무원 3일 연차 쉬워??
1
12:13
l
조회 4
배민 개빡치넹
12:12
l
조회 10
라면은 참 신기한 음식이야
12:12
l
조회 8
오늘 니트vs셔츠
12:12
l
조회 3
눈이 부어서 겹쌍 되기도 하나
8
12:11
l
조회 9
스벅 버터떡 맛있더라
12:11
l
조회 4
27살이면 재산 평균 3000인거 진짜야?
3
12:11
l
조회 21
손목 건초염 주사 많이 아플까
12:11
l
조회 4
진짜 개맛있는 프차 음료 아무거나 추천좀해줘ㅈㅂ
5
12:11
l
조회 14
ㄱ
민렌
추가하기
더보기
거의 자석 아님........?
2
아 어이없어 악
까자들아 어디있니
1
너무 놀라서 오랜만에 민렌방 뛰어들어옴..;
인생 참 재밌다!~!!!!
야 얘들아 이게 모냐
뭐지 갑자기 몸무게 훅 내려감.....
12:10
l
조회 16
모나리자 모델이 스물 셋~넷 이래
12:09
l
조회 12
가족때문에 우울증이면 독립하는게 맞겠지?
2
12:09
l
조회 14
구수하고 시큼한 설사의 냄새!
12:09
l
조회 13
근데 대학교 조별로 만나서 밥 먹는 거
12:09
l
조회 6
맥북 에어중고살지 네오살지 고민되넹
1
12:09
l
조회 9
더보기
1
2
3
4
5
6
7
8
9
10
다음
일상
이슈
연예
드영배
12:14
1
아빠가 내가 준 꽃바구니 할머니할아버지한테 주면 안되냐하는데...
9
2
환연 진짜 개재밋네 ㅋㅋㅋㅋㅋㅋㅋㅋ
3
3
신입인데.. 선임이 내 밥에 숟가락 꽂았는데 내가 예민한거겠지
14
4
얘들아 이런 옷 여쿨 아니고 봄웜 아냐..?!
4
5
나 호주 유럽 미국가서 11일에 천만원은 쓰고왔는데
4
6
급상승
너무화가나네 배달 90분걸리는거실화임? ㅋㅋ
9
7
밭에 뭐 심을까 하길래 딸기딸기 했더니 40
1
8
주식 걍 가볍게 한곳만 사서 묵혀두는 타입도
6
9
사람들 9살 연상 의사 올려치기하면서 민.경은 왜 후려치지
1
10
27살이면 재산 평균 3000인거 진짜야?
3
11
이쁜건 걍 얼굴보자마자 헉 이쁘다 이거야?
4
12
뭐지 갑자기 몸무게 훅 내려감.....
13
라면은 참 신기한 음식이야
14
눈이 부어서 겹쌍 되기도 하나
3
15
진짜 개맛있는 프차 음료 아무거나 추천좀해줘ㅈㅂ
4
16
바람막이 머 살까???
2
17
버스기다리다가 이상한 사람 봄
2
18
큐알 사진으로 있는거 어케접속해?
13
19
옷잘알들 쇼케룩좀 골라줘
20
배민 개빡치넹
1
급식 중단까지 빚어진 만두사태
17
2
광주 여고생 묻지마 범행 가해자 신상 공개됨!
29
3
다이소에서 깻잎이래서 샀는데...
17
4
윤남노 셰프 새로운 레스토랑 후기
2
5
친구 1이 19금 웹툰에 들어갈 효과음샀어- 했더니
3
6
한국은 진짜 식문화가 발달 안 함.jpg
8
7
이지훈♥아야네, 어린이집서 사탕 먹고 온 딸에 충격 "아직 무염하는데"
55
8
20대에 많이 하는 착각
2
9
후라이드 하나를 빼먹고 안 튀김
10
지방직 공무원 민원 응대하는 거 사실적으로 알려드림.jpg
9
11
주인보다 나이 많은 '95년생' 강아지…세계 최고령견 될까
11
12
혁신적인 소매치기 예방용 가방
13
무한 리필 초밥집에서 많이 먹으면
1
14
30년차 직장인의 십계명
15
오빠가 셋인 여동생의 고민
1
16
마지막 연애가 언제인지 물어본 여직원
17
어느 날인가 집으로 처형과 처제가 병문안을 왔었다
18
얘들아 우리 강아지 못생김?
19
여자 마음을 여는 비밀번호
1
1
헐 신감 시즌2 공식 확정이래!!!! 뒷북인가???
3
2
자취생한테 제일 필요한 5천원권 뭐라고 생각해
14
3
노이즈마케팅 효과 대박이다 ㄷㄷ
6
4
얘들아 이거 우리 엄마 죽어도 안 바뀔 것 같지 ㅇㅇ?
7
5
노래 찾아주라..
6
아일릿 랙카 고소내용 이건데 진거래
8
7
다들 월드컵 볼꺼야 ?
5
8
트친이 갑자기 탈덕한다는게 뭔가 마음이 이상해…
6
9
음중 투표 돈 내야 하니
10
익들은 바이럴글이랑 찐팬들 구별 가능??
6
11
아일릿 렉카 고소해서 승소한것도 3억8천중에 겨우 1500인정이래
6
12
나만 에스파 컴백 겁나 기대돼?
4
13
원스 최립우 성덕 할 수 있겠다
2
14
아이돌마다 입덕했다는 표현 너무 웃기고 귀엽다
2
15
코르티스 라이즈 위시 취향멤 적어볼사람
21
16
원빈이 머리 기르는 중인가 ?
3
17
블핑 리사 북중미월드컵 개막식무대하네
18
박지훈 인기상 받고 안녕하쎄용 한 거 언제 질리지 ㅋㅋㅋㅋ
1
1
대군부인
희주 입은 옷 완이 셔츠 맞는 거 같지 아무래도?
2
2
와 언내추럴이 윤아가 한다고??????????????
10
3
대군부인
아이유 인스타
25
4
언내추럴 저게 그렇게나 재미있음?
30
5
대군부인
완이 이 사진 뭐야?
5
6
급상승
유미의세포들3
헐 넷플이 갑자기 이거 올렸어
4
7
대군부인
어 링겔보니까 진짜 완이 다치나본데
1
8
대군부인
희주 우리 키스무새인거 아는거임?
5
9
대군부인
나 알아들었음 ㅇㅋㅇㅋ
8
10
신혜선이 그정도로 연기를 잘했어???
18
11
염혜란 배우 얼굴 이름 각인된게
31
12
언내추럴 여주 너무 상징적이라 히토미가 안 지워져
2
13
우리나라가 언내추럴 같은 명드를 리메이크 할 수 있나 싶음
14
14
언내추럴 40대 남주 역할로 소취하는 배우들
12
15
백상 윤아 봐줘
1
16
대군부인
또 키스무새들 등장하겠다
2
17
대군부인 하기전 시청률은 몇퍼였어?
7
18
갑자기 언내추럴 작품 내려치기는 뭐임 ㅋㅋㅋㅋㅋ
1
19
언내추럴 ost로 레몬 쓸 일 없겠지?
7
20
김고은 박지현 은중과 상연에서 연기 잘했어??
인스티즈앱 설치
소개
이용 문의
광고/제휴
채용
권리 침해
개인정보취급방침
(주)인스티즈 사업자등록번호 : 655-86-00876
통신판매업신고 :
2017-서울강남-03991
대표 : 김준혁
© instiz Corporation